Case Study13歳男性埋まった歯のマウスピース矯正-矯正期間1年11ヶ月

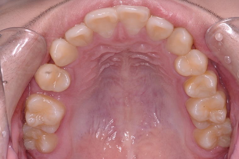
BEFORE

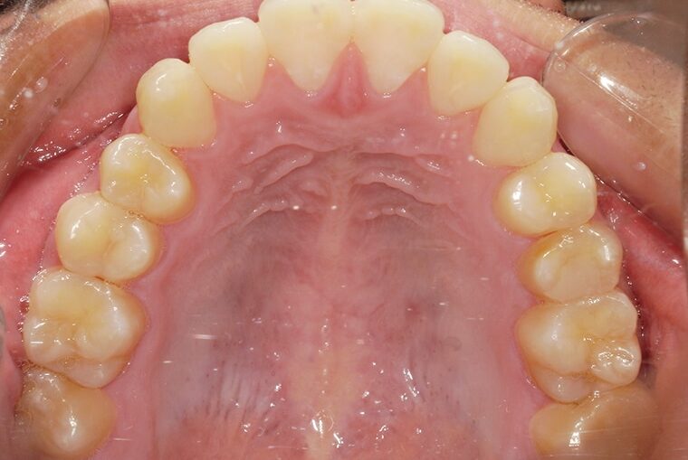
AFTER

BEFORE

AFTER
- 治療費用
- 800,000円(税込)
- 治療期間
- 1年11ヶ月
- 性別
- 男性
- 年齢
- 13
- 抜歯
- 無し
- 治療方法
- マウスピース矯正(インビザラインComprehensive)による治療方法
- 治療リスク
- 1日22時間の装着時間を守らないと治療期間が遅くなり、歯並びの質が悪くなります
患者さまの声
歯並びそのものが大きな悩みだったわけではありませんが、埋まっている歯があり、このままでは正しく並ばないと言われたため矯正をすることにしました。
歯を並べるスペースを確保するために矯正で少しずつすき間をつくり、計画通りに歯が動いてきているのを実感しています。将来のトラブルを防ぐためにも、やって良かったと思っています。
I074
マウスピース矯正(インビザライン)のおもなリスク
虫歯・歯肉炎・歯周病・ブラックトライアングル・歯根吸収・歯肉退縮・1日22時間以上のマウスピース装着が必須・マウスピースにより痛みを感じる可能性・治療中に一時的に噛み合わせに不具合をきたす可能性・リテーナーを最低1年間は1日22時間以上装着、その後徐々に着用時間を減らし、2年目以降は夜間のみの着用を推奨。
価格・期間の表記について
マウスピース矯正の総額費用(アライナー、調整、保定装置)以外に、IPR(歯の側面を削る治療)や抜歯など、歯並びの状態により追加治療があります。それらを含めた治療当時の医院価格となっております。










