Case Study53歳女性ガタガタな歯のマウスピース矯正-矯正期間1年4ヶ月

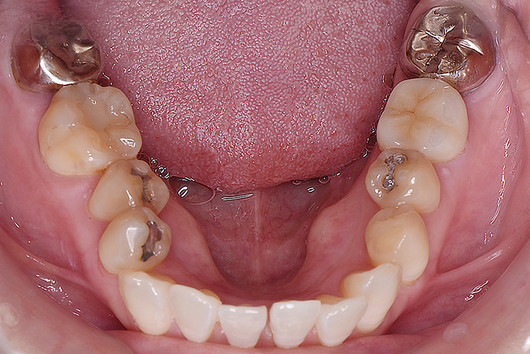
BEFORE

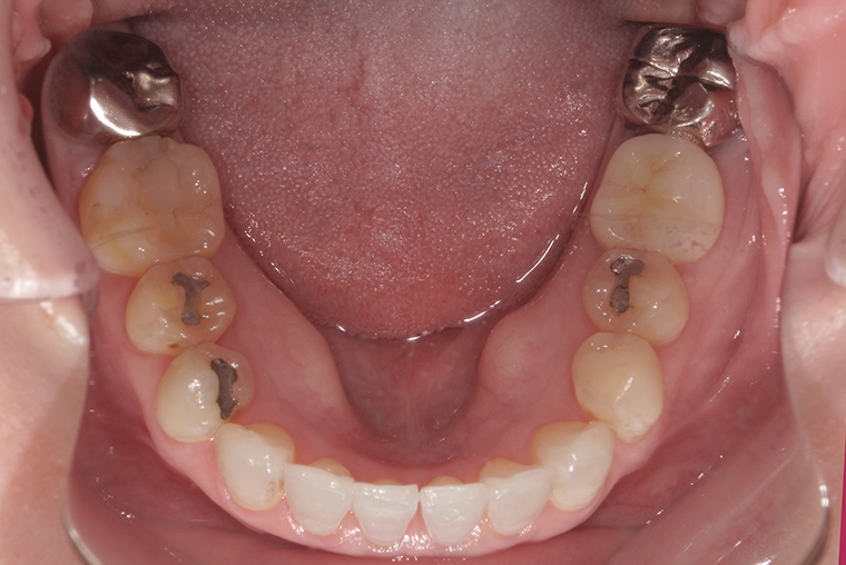
AFTER

BEFORE

AFTER

BEFORE

AFTER
- 治療費用
- 880,000円(税込)
- 抜歯
- 無し
- 治療期間
- 1年4ヶ月
- 性別
- 女性
- 年齢
- 53歳
- 治療開始
- 通院回数
- 8回
- 治療方法
- 歯全体のマウスピース矯正システム「インビザラインFull」を用いた治療
- 治療リスク
- ・歯肉退縮、歯の変色、ブラックトライアングルのリスクがあります。
・1日22時間の装着時間を守らないと治療期間が遅くなり、歯並びの質が悪くなります。
患者さまの声
矯正で、逆の噛み合わせと全体的な歯のデコボコを治したいと思い、治療を始めました。
年齢的に迷いもありましたが、しっかり説明していただけたので安心して進められました。
矯正後は反対の噛み合わせもきれいに整い、見た目もすっきりしました。
思いきって始めて、本当に良かったと感じています。
I079
マウスピース矯正(インビザライン)のおもなリスク
虫歯・歯肉炎・歯周病・ブラックトライアングル・歯根吸収・歯肉退縮・1日22時間以上のマウスピース装着が必須・マウスピースにより痛みを感じる可能性・治療中に一時的に噛み合わせに不具合をきたす可能性・リテーナーを最低1年間は1日22時間以上装着、その後徐々に着用時間を減らし、2年目以降は夜間のみの着用を推奨。
価格・期間の表記について
マウスピース矯正の総額費用(アライナー、調整、保定装置)以外に、IPR(歯の側面を削る治療)や抜歯など、歯並びの状態により追加治療があります。それらを含めた治療当時の医院価格となっております。










