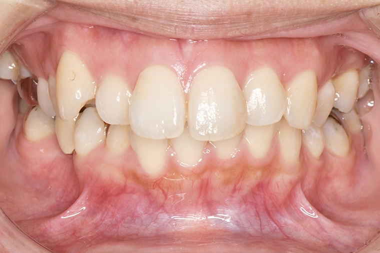
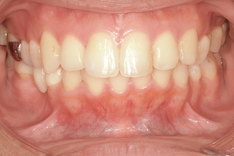
Case Study29歳女性出っ歯のマウスピース矯正-矯正期間1年11ヶ月

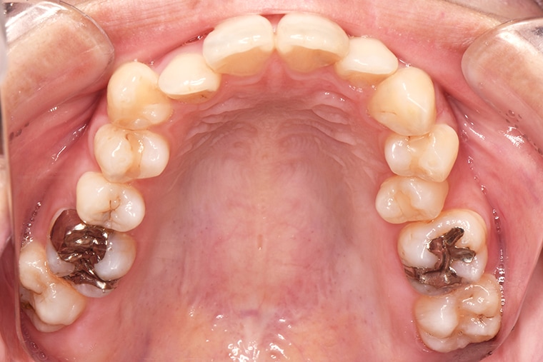
BEFORE

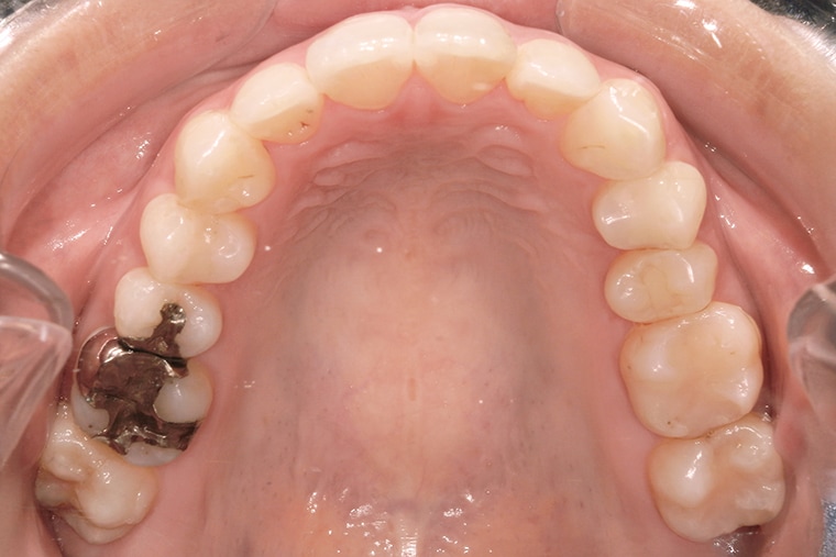
AFTER

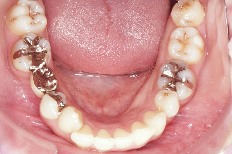
BEFORE

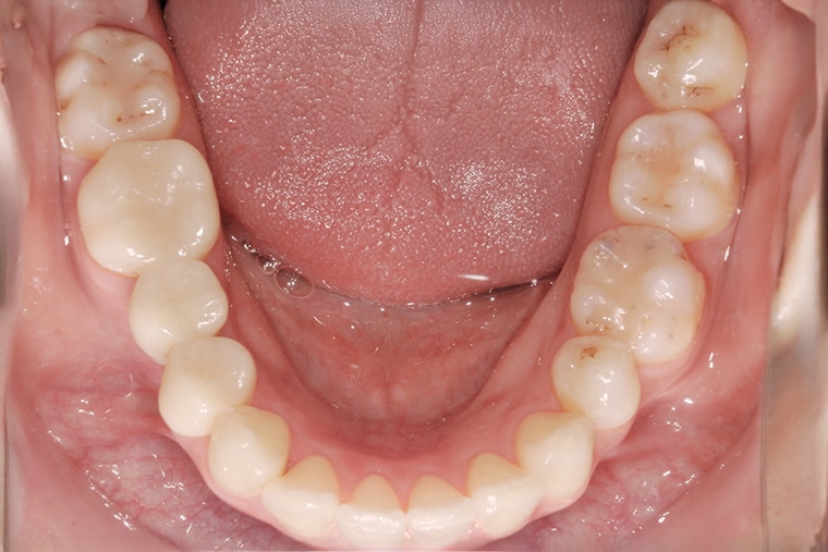
AFTER

BEFORE

AFTER

BEFORE

AFTER
- 治療費用
- 495,000円(税込)
- 治療期間
- 1年11ヶ月
- 性別
- 女性
- 年齢
- 29歳
- 抜歯
- 無し
- 治療方法
- マウスピース矯正(インビザラインLite)による治療方法
- 治療リスク
- 1日22時間の装着時間を守らないと治療期間が遅くなり、歯並びの質が悪くなります
患者さまの声
子どものころから出っ歯が気になり、思いきってマウスピース矯正を始めました。
治療前は追加治療で費用が増えるのではと不安でしたが、実際には追加の負担もなく、丁寧に対応していただけたので安心できました。
治療前と比べると歯並びが見違えるほどきれいになり、笑顔がより明るくなったと感じます。
周りからも「印象が変わったね」と言われることが増え、自然と笑顔になり、気持ちも前向きになった気がします。
I225
マウスピース矯正(インビザライン)のおもなリスク
虫歯・歯肉炎・歯周病・ブラックトライアングル・歯根吸収・歯肉退縮・1日22時間以上のマウスピース装着が必須・マウスピースにより痛みを感じる可能性・治療中に一時的に噛み合わせに不具合をきたす可能性・リテーナーを最低1年間は1日22時間以上装着、その後徐々に着用時間を減らし、2年目以降は夜間のみの着用を推奨。
価格・期間の表記について
マウスピース矯正の総額費用(アライナー、調整、保定装置)以外に、IPR(歯の側面を削る治療)や抜歯など、歯並びの状態により追加治療があります。それらを含めた治療当時の医院価格となっております。










