Case Study28歳男性出っ歯のマウスピース矯正-矯正期間9ヶ月

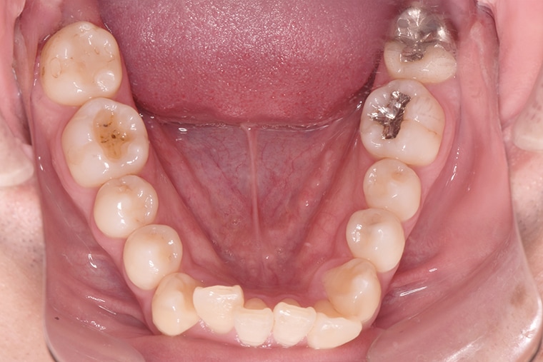
BEFORE

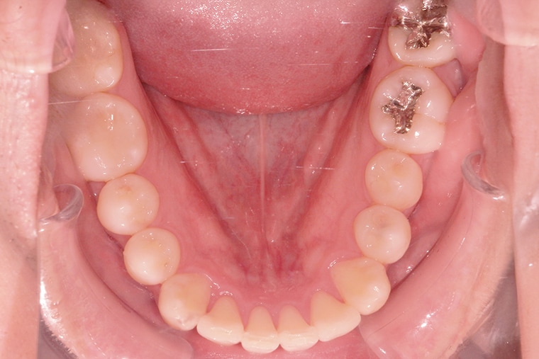
AFTER

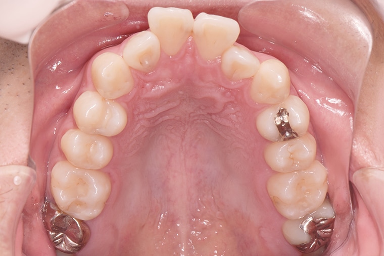
BEFORE

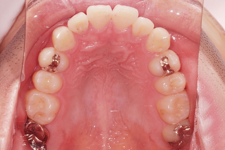
AFTER
- 治療費用
- 550,000円(税込)
- 治療期間
- 9ヶ月
- 性別
- 男性
- 年齢
- 28歳
- 抜歯
- 無し
- 治療方法
- マウスピース矯正(インビザラインLite)による治療方法
- 治療リスク
- 1日22時間の装着時間を守らないと治療期間が遅くなり、歯並びの質が悪くなります
患者さまの声
前歯のガタつきがずっと気になっていたのと、食事中や会話のときに頬の内側をよく噛んでしまうことがあり、それを改善したいと思ってマウスピース矯正を始めました。
正直、性格的にサボり癖があるので「本当に自分に続けられるのだろうか」と最初はかなり不安でした。マウスピースは装着時間が大切と聞いていたので心配だったのですが、実際に使い始めてみると思っていた以上に違和感が少なく、数日で慣れることができました。
外食や人と会う場面でも自分で取り外せるので負担が少なく、次第に装着が習慣の一部になっていきました。また、矯正を始めてからは歯磨きやデンタルケアを以前より丁寧に行うようになり、口の中が清潔に保たれている実感もあります。
矯正が進むにつれて頬の内側を噛むこともなくなり、気になっていた前歯のガタつきも整ってきて、見た目の印象も大きく改善しました。
笑顔に自信が持てるようになったのはもちろん、日常生活の小さなストレスがなくなったことが本当に嬉しいです。
I652
マウスピース矯正(インビザライン)のおもなリスク
虫歯・歯肉炎・歯周病・ブラックトライアングル・歯根吸収・歯肉退縮・1日22時間以上のマウスピース装着が必須・マウスピースにより痛みを感じる可能性・治療中に一時的に噛み合わせに不具合をきたす可能性・リテーナーを最低1年間は1日22時間以上装着、その後徐々に着用時間を減らし、2年目以降は夜間のみの着用を推奨。
価格・期間の表記について
マウスピース矯正の総額費用(アライナー、調整、保定装置)以外に、IPR(歯の側面を削る治療)や抜歯など、歯並びの状態により追加治療があります。それらを含めた治療当時の医院価格となっております。










