Case Study11歳男性受け口のマウスピース小児矯正-矯正期間2年

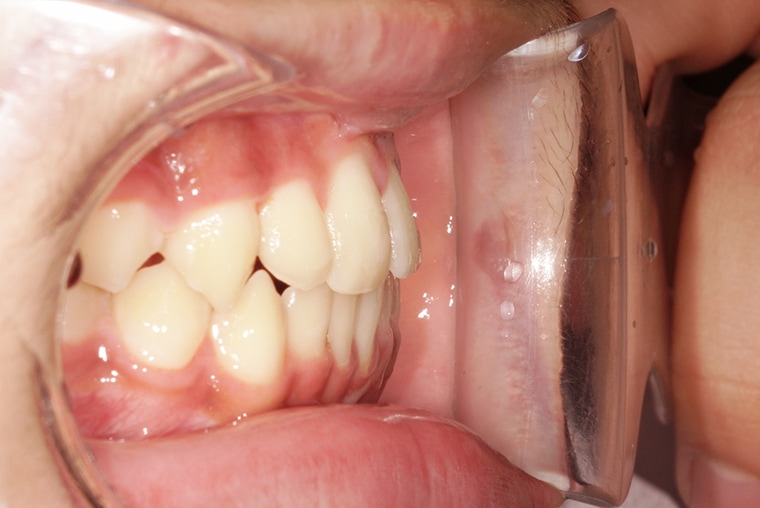
BEFORE

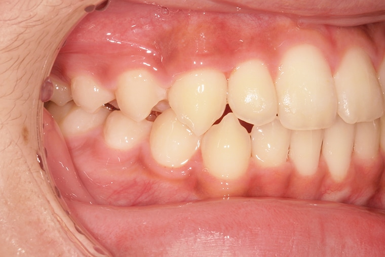
AFTER

BEFORE

AFTER

BEFORE

AFTER

BEFORE

AFTER
- 治療費用
- 660000円(税込)
- 抜歯
- 無し
- 治療期間
- 2年
- 性別
- 男性
- 年齢
- 11歳
- 治療開始
- 通院回数
- 12回
- 治療方法
- 小児用マウスピース矯正システム「インビザラインFirst」を用いた治療
- 治療リスク
- ・生え替わりより不適合、矯正装置の作り直しのリスクがあります。
・1日22時間の装着時間を守らないと治療期間が遅くなり、歯並びの質が悪くなります。
患者さまの声
下の歯が前に出ていて、全体的に歯並びがガタガタしているのが、ずっと気になっていました。写真に写るたびに気になってしまって、本人も少し気にしている様子だったので、矯正を考え始めました。ただ、矯正を始めるにあたって一番心配だったのは、ちょうど思春期の難しい年頃だったこともあり、本人がきちんと通院や装置の管理など、約束を守ってくれるかどうかということでした。時間との戦いになるかもしれないし、途中で投げ出してしまわないかという不安もありました。
でも、いざ矯正を始めてみると、少しずつ歯並びが整っていくのが目に見えて分かってきて、それが本人にとっても励みになったようです。本人の努力もあり、最終的にはとてもきれいな歯並びになりました。今では、口元に自信を持って笑えるようになったことが、本当にうれしいです。最初は不安もありましたが、思い切って矯正に踏み切ってよかったと心から思っています。(母)
H888
マウスピース矯正(インビザライン)のおもなリスク
虫歯・歯肉炎・歯周病・ブラックトライアングル・歯根吸収・歯肉退縮・1日22時間以上のマウスピース装着が必須・マウスピースにより痛みを感じる可能性・治療中に一時的に噛み合わせに不具合をきたす可能性・リテーナーを最低1年間は1日22時間以上装着、その後徐々に着用時間を減らし、2年目以降は夜間のみの着用を推奨。
価格・期間の表記について
マウスピース矯正の総額費用(アライナー、調整、保定装置)以外に、IPR(歯の側面を削る治療)や抜歯など、歯並びの状態により追加治療があります。それらを含めた治療当時の医院価格となっております。










