Case Studyガタガタな歯の
マウスピース矯正症例
マウスピース矯正症例
「ガタガタ」な歯並び
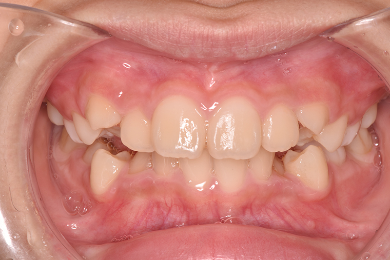
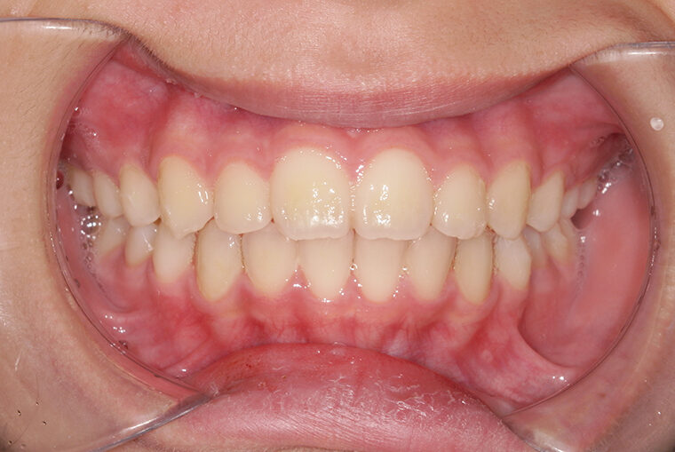
20歳男性ガタガタな歯のマウスピース矯正-矯正期間1年2ヶ月


- 治療費用
- 950,000円(税込)
- 治療期間
- 1年2ヶ月
- 性別
- 男性
- 年齢
- 20歳
- 抜歯
- 無し
- 治療方法
- マウスピース矯正(インビザラインModerate)による治療方法
- 治療リスク
- 1日22時間の装着時間を守らないと治療期間が遅くなり、歯並びの質が悪くなります
患者さまの声
歯並びが良くなってから、口の中を噛んでしまうことが減り、口内炎もできにくくなりました。以前は気づかないうちに痛くなることが多かったのですが、今はそうしたストレスがほとんどありません。見た目だけでなく、日常生活の快適さも大きく変わり、矯正して良かったと感じています。
39歳女性ガタガタな歯のマウスピース矯正-矯正期間9ヶ月


- 治療費用
- 870,000円(税込)
- 治療期間
- 8ヶ月
- 性別
- 女性
- 年齢
- 39歳
- 抜歯
- 無し
- 治療方法
- マウスピース矯正(インビザラインModerate)による治療方法
- 治療リスク
- 1日22時間の装着時間を守らないと治療期間が遅くなり、歯並びの質が悪くなります
患者さまの声
矯正をして、よかったことしかありません。歯並びが整って見た目がきれいになっただけでなく、歯ブラシが当てやすくなり、歯磨きもしやすくなりました。毎日のケアが楽になり、歯を大切にしようという気持ちも強くなったと思います。矯正して本当に良かったです。
27歳女性ガタガタな歯のマウスピース矯正-矯正期間1年3ヶ月


- 治療費用
- 700,000円(税込)
- 治療期間
- 1年3ヶ月
- 性別
- 女性
- 年齢
- 27歳
- 抜歯
- 無し
- 治療方法
- マウスピース矯正(インビザラインModerate)による治療方法
- 治療リスク
- 1日22時間の装着時間を守らないと治療期間が遅くなり、歯並びの質が悪くなります
患者さまの声
矯正をしてから、今まで食べにくかったことに初めて気づきました。治療後すぐに焼肉を食べたのですが、しっかり噛めてとても食べやすくなっていて驚きました。噛み合わせが良くなると、食事のしやすさもこんなに変わるんだと実感しました。矯正して本当に良かったと思います。
13歳男性埋まった歯のマウスピース矯正-矯正期間1年11ヶ月


- 治療費用
- 800,000円(税込)
- 治療期間
- 2年
- 性別
- 女性
- 年齢
- 15歳
- 抜歯
- 無し
- 治療方法
- マウスピース矯正(インビザラインModerate)による治療方法
- 治療リスク
- 1日22時間の装着時間を守らないと治療期間が遅くなり、歯並びの質が悪くなります
患者さまの声
はじめのころと比べると、歯並びがすごく良くなったと感じています。前歯のすき間が気にならなくなり、見た目だけでなく噛み合わせも整いました。マウスピース矯正だったので、学校生活の中でも続けやすく、無理なく矯正できたと思います。今は笑うときも歯並びを気にしなくてよくなり、矯正して本当に良かったです。
9歳女性ガタガタな歯のマウスピース矯正-矯正期間1年6ヶ月


- 治療費用
- 580,000円(税込)
- 治療期間
- 1年6ヶ月
- 性別
- 女性
- 年齢
- 9歳
- 抜歯
- 無し
- 治療方法
- マウスピース矯正(インビザラインFirst)による治療方法
- 治療リスク
- 1日22時間の装着時間を守らないと治療期間が遅くなり、歯並びの質が悪くなります
患者さまの声
矯正前に思い描いていたとおりの歯並びになり、本当に満足しています。仕上がりを見て、矯正して良かったと実感しています。
25歳男性ガタガタな歯のマウスピース矯正-矯正期間6ヶ月


- 治療費用
- 968,000円(税込)
- 治療期間
- 6ヶ月
- 性別
- 男性
- 年齢
- 25歳
- 抜歯
- 無し
- 治療方法
- マウスピース矯正(インビザラインModerate)による治療方法
- 治療リスク
- 1日22時間の装着時間を守らないと治療期間が遅くなり、歯並びの質が悪くなります
患者さまの声
歯の噛み合わせが一番気になっていたのでマウスピース矯正を始めました。
最初はちゃんと治るか不安でしたが、近所で一番大きい医院だったので安心できました。
約6ヶ月の治療で気になっていた部分はしっかり改善され、噛み合わせも良くなり満足しています。
20歳男性ガタガタな歯のマウスピース矯正-矯正期間9ヶ月


- 治療費用
- 880,000円(税込)
- 治療期間
- 9ヶ月
- 性別
- 男性
- 年齢
- 20歳
- 抜歯
- 無し
- 治療方法
- マウスピース矯正(インビザラインModerate)による治療方法
- 治療リスク
- 1日22時間の装着時間を守らないと治療期間が遅くなり、歯並びの質が悪くなります
患者さまの声
上下のガタつきがずっと気になっていて、朝鏡を見るときにいい気分にはなれませんでした。
ワイヤー矯正は痛いイメージがあったのと、治療期間が長くかかるイメージもあったため、なかなか踏み切れずにいました。
そこでマウスピース矯正を選んだのですが、実際に始めてみると、想像していたよりも負担が少なく、期間も短く済むことが分かりました。装置を交換した2、3日だけ少し違和感や軽い痛みがありましたが、日常生活に大きな支障はなく、普段の生活や食事にもほとんど影響がありませんでした。
治療を始めてから少しずつ歯並びが整っていくのを目で確認できるのは励みになり、モチベーションを保つことができました。毎日の装着や歯磨きの習慣も自然と身につき、歯への意識も以前より高まりました。
約9ヶ月の治療を経て、上下のガタガタだった歯はきれいに整い、朝鏡を見ることが苦にならなくなりました。今では口元を隠す必要もなくなり、笑顔に自信が持てるようになりました。思っていたよりも短期間で、そして痛みもほとんどなく変化を実感できたことが本当に嬉しいです
29歳女性ガタガタな歯のマウスピース矯正-矯正期間1年1ヶ月


- 治療費用
- 770,000円(税込)
- 治療期間
- 1年1ヶ月
- 性別
- 女性
- 年齢
- 29歳
- 抜歯
- 無し
- 治療方法
- マウスピース矯正(インビザラインModerate)による治療方法
- 治療リスク
- 1日22時間の装着時間を守らないと治療期間が遅くなり、歯並びの質が悪くなります
患者さまの声
上の前歯が少し傾いていて、鏡に映るときや人と話したときにどうしても気になっていました。
思い切ってマウスピース矯正を始めたところ、治療は約1年1ヶ月で完了し、思っていたよりも早かったです。最初は違和感もありましたが、徐々に慣れて毎日の装着も習慣になり、歯磨きや口腔ケアにも以前より気を配るようになりました。
治療が進むにつれて少しずつ歯並びが整っていくのが嬉しく、モチベーションにもつながりました。
矯正が終わった今は、ずっと気になっていた前歯の傾きもなくなり、笑顔に自信を持てるようになりました。鏡を見るたびに「やってよかった」と心から思っています。
8歳女性スペース不足のマウスピース小児矯正-矯正期間9ヶ月


- 治療費用
- 660,000円(税込)
- 治療期間
- 9ヶ月
- 性別
- 女性
- 年齢
- 8歳
- 抜歯
- 無し
- 治療方法
- マウスピース矯正(インビザラインFirst)による治療方法
- 治療リスク
- 1日22時間の装着時間を守らないと治療期間が遅くなり、歯並びの質が悪くなります
患者さまの声
歯ならびをきれいにしたくて矯正をしました。
最初は少し痛かったけど、だんだん歯がそろってきて、鏡を見るのが楽しくなりました。
友達に「歯がきれいだね」ってほめられてすごくうれしかったです。
今は写真をとるのも楽しくて、にっこり笑うと前より自信がもてるようになりました。
26歳女性ガタガタな歯のマウスピース矯正-矯正期間3年4ヶ月


- 治療費用
- 880,000円(税込)
- 治療期間
- 3年4ヶ月
- 性別
- 女性
- 年齢
- 26歳
- 抜歯
- 有り
- 治療方法
- マウスピース矯正(インビザラインComprehensive)による治療方法
- 治療リスク
- 1日22時間の装着時間を守らないと治療期間が遅くなり、歯並びの質が悪くなります
患者さまの声
右上の八重歯がずっと気になっていました。さらに乳歯も残っていたため、「どうせなら一緒に抜こう」と思い、思い切って矯正治療を受けることにしました。
最初は少し不安もありましたが、先生やスタッフの皆さんが丁寧にサポートしてくださり、安心して治療を進めることができました。
治療後は、気になっていた八重歯もなくなり、歯並びもきれいに整って、とても満足しています。希望していた通りの仕上がりになり、本当にやってよかったと思っています。
今は自信を持って笑えるようになり、日常生活にも良い変化が生まれました。ありがとうございました。










