Case Study12〜19歳の
マウスピース矯正症例
マウスピース矯正症例
「12〜19歳」の歯並び
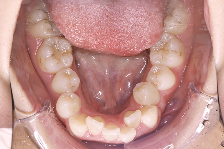
13歳男性埋まった歯のマウスピース矯正-矯正期間1年11ヶ月


- 治療費用
- 800,000円(税込)
- 治療期間
- 2年
- 性別
- 女性
- 年齢
- 15歳
- 抜歯
- 無し
- 治療方法
- マウスピース矯正(インビザラインModerate)による治療方法
- 治療リスク
- 1日22時間の装着時間を守らないと治療期間が遅くなり、歯並びの質が悪くなります
患者さまの声
はじめのころと比べると、歯並びがすごく良くなったと感じています。前歯のすき間が気にならなくなり、見た目だけでなく噛み合わせも整いました。マウスピース矯正だったので、学校生活の中でも続けやすく、無理なく矯正できたと思います。今は笑うときも歯並びを気にしなくてよくなり、矯正して本当に良かったです。
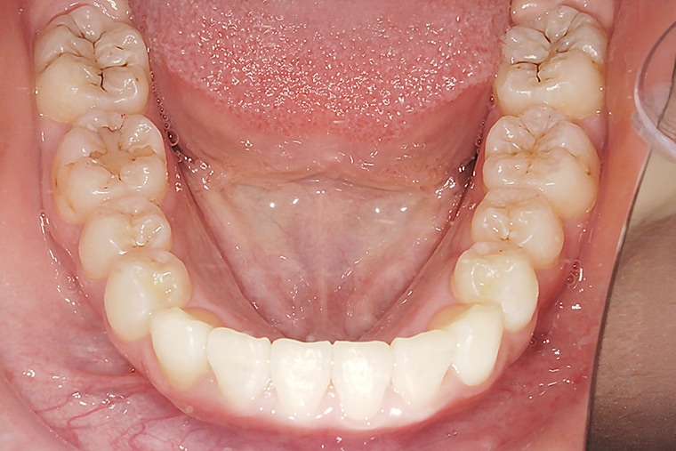
13歳男性埋まった歯のマウスピース矯正-矯正期間1年11ヶ月


- 治療費用
- 800,000円(税込)
- 治療期間
- 1年11ヶ月
- 性別
- 男性
- 年齢
- 13
- 抜歯
- 無し
- 治療方法
- マウスピース矯正(インビザラインComprehensive)による治療方法
- 治療リスク
- 1日22時間の装着時間を守らないと治療期間が遅くなり、歯並びの質が悪くなります
患者さまの声
歯並びそのものが大きな悩みだったわけではありませんが、埋まっている歯があり、このままでは正しく並ばないと言われたため矯正をすることにしました。
歯を並べるスペースを確保するために矯正で少しずつすき間をつくり、計画通りに歯が動いてきているのを実感しています。将来のトラブルを防ぐためにも、やって良かったと思っています。
15歳女性出っ歯のマウスピース矯正-矯正期間11ヶ月


- 治療費用
- 850,000円(税込)
- 治療期間
- 11ヶ月
- 性別
- 女性
- 年齢
- 15歳
- 抜歯
- 無し
- 治療方法
- マウスピース矯正(インビザラインModerate)による治療方法
- 治療リスク
- 1日22時間の装着時間を守らないと治療期間が遅くなり、歯並びの質が悪くなります
患者さまの声
14歳女性出っ歯のマウスピース矯正-矯正期間3ヶ月


- 治療費用
- 550,000円(税込)
- 治療期間
- 3ヶ月
- 性別
- 女性
- 年齢
- 14歳
- 抜歯
- 無し
- 治療方法
- マウスピース矯正(インビザラインLite)による治療方法
- 治療リスク
- 1日22時間の装着時間を守らないと治療期間が遅くなり、歯並びの質が悪くなります
患者さまの声
14歳女性出っ歯のマウスピース矯正-矯正期間10ヶ月


- 治療費用
- 1,001,000円(税込)
- 治療期間
- 10ヶ月
- 性別
- 女性
- 年齢
- 14歳
- 抜歯
- 無し
- 治療方法
- マウスピース矯正(インビザラインModerate)による治療方法
- 治療リスク
- 1日22時間の装着時間を守らないと治療期間が遅くなり、歯並びの質が悪くなります
患者さまの声
娘の上の前歯が徐々に出てきていて、年頃にもなったこともあり、自分から「矯正をしたい」と言ってきました。以前は前歯がかなり出ていて、笑うと目立っていたので、私も少し心配していました。
マウスピース矯正を始めてから約10ヶ月、あんなに出ていた前歯が引っこんでいくのを見て本当にびっくりしました。装置の扱いも最初は戸惑いがあったようですが、本人がしっかり装着を続け、歯磨きもきちんとするようになりました。少しずつ歯並びが整っていくのを見て、本人も自信を持って鏡を見るようになったのが嬉しかったです。
矯正が終わった今、前歯の見た目はとてもキレイになり、希望通りの仕上がりです。笑顔にも自然に自信が持てるようになり、日常生活でも口元を気にせず過ごせることが何より安心で嬉しいです。母として、矯正をさせて本当に良かったです。
15歳女性出っ歯のマウスピース矯正-矯正期間10ヶ月


- 治療費用
- 660,000円(税込)
- 治療期間
- 10ヶ月
- 性別
- 女性
- 年齢
- 15歳
- 抜歯
- 無し
- 治療方法
- マウスピース矯正(インビザラインLite)による治療方法
- 治療リスク
- 1日22時間の装着時間を守らないと治療期間が遅くなり、歯並びの質が悪くなります
患者さまの声
上の前歯が出っ歯で、笑ったときや話すときに口元が目立つのが気になり、娘も矯正をしたいと思っていました。
最初の頃は、マウスピースの扱いに慣れず、特に食事のときにうまく外せなくて困っていたので、学校でうまく対応できるか少し心配していました。本人も最初は戸惑っていましたが、回数を重ねるうちにスムーズに取り外せるようになり、日常生活への影響も少なくなっていきました。
矯正中は、毎日の装着や歯磨きの習慣を守ることの大切さを本人が実感しながら取り組んでいる様子が見られました。少しずつ歯並びが整っていくのを見て、娘も「頑張ってよかった」と実感していたようです。
約10ヶ月の矯正期間を経て、上の前歯の出っ歯は改善され、口を閉じることが自然にできるようになりました。歯並びが整ったことで笑顔に自信が持てるようになり、日常生活でも以前より表情が明るくなったのを感じます。学校生活や友達との会話でも、口元を気にすることが少なくなり、本人も嬉しそうです。
矯正を始める前は不安もありましたが、結果的に歯並びがキレイになり、健康面でも噛み合わせが改善されたことで安心しています。母としても、この変化を間近で見られたことは本当に嬉しく、伊藤歯科さんで矯正を決めて良かったと感じています。
13歳男性すきっ歯のマウスピース矯正-矯正期間6ヶ月


- 治療費用
- 517,000円(税込)
- 治療期間
- 6ヶ月
- 性別
- 男性
- 年齢
- 13歳
- 抜歯
- 無し
- 治療方法
- マウスピース矯正(インビザラインLite)による治療方法
- 治療リスク
- 1日22時間の装着時間を守らないと治療期間が遅くなり、歯並びの質が悪くなります
患者さまの声
前から上の前歯が内側に入ってるのが気になってて、笑ったときとか写真に写るのがちょっとイヤでした。
矯正って痛いんかなーって思ってたけど、やってみたら最初は少し違和感あるくらいで、だんだん慣れたら全然大丈夫でした。
6か月たった今は歯ならびがかなり良くなって、見た目もスッキリ!この前友達に「歯めっちゃきれいになったな」って言われて、正直めっちゃうれしかったです。
鏡で自分の歯を見るのも楽しいし、写真に写るときも自然に笑えるようになって、前よりもめっちゃ自信つきました。
矯正やってほんまによかった!
17歳女性切端咬合な歯のマウスピース矯正-矯正期間2年4ヶ月


- 治療費用
- 902,000円(税込)
- 治療期間
- 2年4ヶ月
- 性別
- 女性
- 年齢
- 17歳
- 抜歯
- 無し
- 治療方法
- 歯全体のマウスピース矯正システム「インビザラインFull」を用いた治療
- 治療リスク
- 1日22時間の装着時間を守らないと治療期間が遅くなり、歯並びの質が悪くなります
患者さまの声
歯並びが良くなって、歯磨きがすごくしやすくなりました。
前は八重歯がよく引っかかって痛かったけど、今はそれもなくなってとても満足しています。
受験勉強の真っ最中に矯正を始めたので、最初は大変かなと思ったけど、間食が減って逆に集中できました。
食べすぎないから体調も良くなった気がします。
矯正をすることで、見た目だけじゃなくて生活リズムも整って、自分にとってプラスになったと思います。
これからもきれいな歯を保つために、しっかりケアを続けたいです。
16歳女性ガタガタな歯のマウスピース矯正-矯正期間10ヶ月


- 治療費用
- 990,000円(税込)
- 治療期間
- 10ヶ月
- 性別
- 女性
- 年齢
- 16歳
- 抜歯
- 無し
- 治療方法
- 歯全体のマウスピース矯正システム「インビザラインFull」を用いた治療
- 治療リスク
- 1日22時間の装着時間を守らないと治療期間が遅くなり、歯並びの質が悪くなります
患者さまの声
歯がガタガタでずっと気になっていたので、治したいと思っていました。
治療を続けていくうちに、歯並びがどんどんきれいになっていくのが自分でもわかりました。
写真で比べると、その変化がはっきり見えて、本当に嬉しかったです。
希望していた通り、きれいな歯並びになって大満足です。
これからも歯を大切にして、笑顔に自信を持ちたいです。
15歳女性ガタガタな歯のマウスピース矯正-矯正期間1年8ヶ月


- 治療費用
- 880,000円(税込)
- 治療期間
- 1年5ヶ月
- 性別
- 女性
- 年齢
- 15
- 抜歯
- 有り
- 治療方法
- 歯全体のマウスピース矯正システム「インビザラインFull」を用いた治療
- 治療リスク
- 1日22時間の装着時間を守らないと治療期間が遅くなり、歯並びの質が悪くなります
患者さまの声
八重歯があったので、ずっと矯正したいと思っていました。
姉がインビザラインをしていて、実際に見たことがあったので、私も安心して始めることができました。不安はほとんどなかったです。
矯正が終わってからは、歯並びがきれいになったのが自分でもよく分かります。
家族からも「歯並びがキレイになったねー」と言われて、とても嬉しかったです♪










