Case Study出っ歯な歯の
マウスピース矯正症例
マウスピース矯正症例
「出っ歯」な歯並び
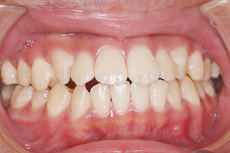
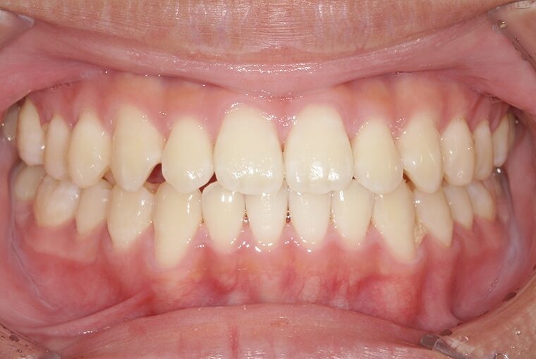
15歳女性出っ歯のマウスピース矯正-矯正期間11ヶ月


- 治療費用
- 850,000円(税込)
- 治療期間
- 11ヶ月
- 性別
- 女性
- 年齢
- 15歳
- 抜歯
- 無し
- 治療方法
- マウスピース矯正(インビザラインModerate)による治療方法
- 治療リスク
- 1日22時間の装着時間を守らないと治療期間が遅くなり、歯並びの質が悪くなります
患者さまの声
21歳女性出っ歯のマウスピース矯正-矯正期間6ヶ月


- 治療費用
- 770,000円(税込)
- 治療期間
- 6ヶ月
- 性別
- 女性
- 年齢
- 21歳
- 抜歯
- 無し
- 治療方法
- マウスピース矯正(インビザラインModerate)による治療方法
- 治療リスク
- 1日22時間の装着時間を守らないと治療期間が遅くなり、歯並びの質が悪くなります
患者さまの声
上の前歯の歪みや少し出っ張っている感じがずっと気になっていて、「矯正をすればキレイになるのかな〜」と思いながらもなかなか踏み切れませんでした。実際に治療を始めるときも、本当に自分の忍耐力が続くのか、そして思い描いているようにキレイに整うのか、とても心配でした。
最初はマウスピースの装着に慣れるまで少し大変でしたが、次第に装着も習慣になり、歯磨きやケアにも気を配るようになりました。マウスピースを交換したときに多少の締めつけ感はありましたが、痛みは強くなく、すぐに慣れることができました。
6ヶ月という短い期間で、気になっていた前歯の歪みや出っ張りが改善され、歯並びが整ったのを実感できました。鏡を見るたびに以前よりも笑顔に自信が持てるようになり、矯正をして本当に良かったと感じています。仕上がりにも満足していて、思い切って挑戦してよかったです!!
14歳女性出っ歯のマウスピース矯正-矯正期間3ヶ月


- 治療費用
- 550,000円(税込)
- 治療期間
- 3ヶ月
- 性別
- 女性
- 年齢
- 14歳
- 抜歯
- 無し
- 治療方法
- マウスピース矯正(インビザラインLite)による治療方法
- 治療リスク
- 1日22時間の装着時間を守らないと治療期間が遅くなり、歯並びの質が悪くなります
患者さまの声
14歳女性出っ歯のマウスピース矯正-矯正期間10ヶ月


- 治療費用
- 1,001,000円(税込)
- 治療期間
- 10ヶ月
- 性別
- 女性
- 年齢
- 14歳
- 抜歯
- 無し
- 治療方法
- マウスピース矯正(インビザラインModerate)による治療方法
- 治療リスク
- 1日22時間の装着時間を守らないと治療期間が遅くなり、歯並びの質が悪くなります
患者さまの声
娘の上の前歯が徐々に出てきていて、年頃にもなったこともあり、自分から「矯正をしたい」と言ってきました。以前は前歯がかなり出ていて、笑うと目立っていたので、私も少し心配していました。
マウスピース矯正を始めてから約10ヶ月、あんなに出ていた前歯が引っこんでいくのを見て本当にびっくりしました。装置の扱いも最初は戸惑いがあったようですが、本人がしっかり装着を続け、歯磨きもきちんとするようになりました。少しずつ歯並びが整っていくのを見て、本人も自信を持って鏡を見るようになったのが嬉しかったです。
矯正が終わった今、前歯の見た目はとてもキレイになり、希望通りの仕上がりです。笑顔にも自然に自信が持てるようになり、日常生活でも口元を気にせず過ごせることが何より安心で嬉しいです。母として、矯正をさせて本当に良かったです。
28歳女性出っ歯のマウスピース矯正-矯正期間6ヶ月


- 治療費用
- 660,000円(税込)
- 治療期間
- 6ヶ月
- 性別
- 女性
- 年齢
- 28歳
- 抜歯
- 無し
- 治療方法
- マウスピース矯正(インビザラインLite)による治療方法
- 治療リスク
- 1日22時間の装着時間を守らないと治療期間が遅くなり、歯並びの質が悪くなります
患者さまの声
下の歯のガタガタがずっと気になっていたので、思い切ってマウスピース矯正を始めました。
治療を始める前は、装置の痛みや締めつけ感があるのではないかと少し心配でした。
実際にマウスピースを交換すると、確かに痛みや締めつけ感を感じることもありましたが、数日で慣れることができ、日常生活に大きな支障はありませんでした。毎日の装着や歯磨きの習慣も自然と身につき、以前より口腔ケアに対する意識も高まりました。
約6ヶ月の治療を経て、下の歯のガタガタはきれいに整い、歯並びが改善されました。鏡で歯並びを見るたびに、自分の笑顔に自信が持てるようになり、以前のように口元を気にすることもなくなりました。
思っていた以上に短期間で変化を実感でき、痛みも最小限で済んだことがとても嬉しく、キレイになって満足です!
15歳女性出っ歯のマウスピース矯正-矯正期間10ヶ月


- 治療費用
- 660,000円(税込)
- 治療期間
- 10ヶ月
- 性別
- 女性
- 年齢
- 15歳
- 抜歯
- 無し
- 治療方法
- マウスピース矯正(インビザラインLite)による治療方法
- 治療リスク
- 1日22時間の装着時間を守らないと治療期間が遅くなり、歯並びの質が悪くなります
患者さまの声
上の前歯が出っ歯で、笑ったときや話すときに口元が目立つのが気になり、娘も矯正をしたいと思っていました。
最初の頃は、マウスピースの扱いに慣れず、特に食事のときにうまく外せなくて困っていたので、学校でうまく対応できるか少し心配していました。本人も最初は戸惑っていましたが、回数を重ねるうちにスムーズに取り外せるようになり、日常生活への影響も少なくなっていきました。
矯正中は、毎日の装着や歯磨きの習慣を守ることの大切さを本人が実感しながら取り組んでいる様子が見られました。少しずつ歯並びが整っていくのを見て、娘も「頑張ってよかった」と実感していたようです。
約10ヶ月の矯正期間を経て、上の前歯の出っ歯は改善され、口を閉じることが自然にできるようになりました。歯並びが整ったことで笑顔に自信が持てるようになり、日常生活でも以前より表情が明るくなったのを感じます。学校生活や友達との会話でも、口元を気にすることが少なくなり、本人も嬉しそうです。
矯正を始める前は不安もありましたが、結果的に歯並びがキレイになり、健康面でも噛み合わせが改善されたことで安心しています。母としても、この変化を間近で見られたことは本当に嬉しく、伊藤歯科さんで矯正を決めて良かったと感じています。
28歳男性出っ歯のマウスピース矯正-矯正期間9ヶ月


- 治療費用
- 550,000円(税込)
- 治療期間
- 9ヶ月
- 性別
- 男性
- 年齢
- 28歳
- 抜歯
- 無し
- 治療方法
- マウスピース矯正(インビザラインLite)による治療方法
- 治療リスク
- 1日22時間の装着時間を守らないと治療期間が遅くなり、歯並びの質が悪くなります
患者さまの声
前歯のガタつきがずっと気になっていたのと、食事中や会話のときに頬の内側をよく噛んでしまうことがあり、それを改善したいと思ってマウスピース矯正を始めました。
正直、性格的にサボり癖があるので「本当に自分に続けられるのだろうか」と最初はかなり不安でした。マウスピースは装着時間が大切と聞いていたので心配だったのですが、実際に使い始めてみると思っていた以上に違和感が少なく、数日で慣れることができました。
外食や人と会う場面でも自分で取り外せるので負担が少なく、次第に装着が習慣の一部になっていきました。また、矯正を始めてからは歯磨きやデンタルケアを以前より丁寧に行うようになり、口の中が清潔に保たれている実感もあります。
矯正が進むにつれて頬の内側を噛むこともなくなり、気になっていた前歯のガタつきも整ってきて、見た目の印象も大きく改善しました。
笑顔に自信が持てるようになったのはもちろん、日常生活の小さなストレスがなくなったことが本当に嬉しいです。
29歳女性出っ歯のマウスピース矯正-矯正期間1年11ヶ月


- 治療費用
- 495,000円(税込)
- 治療期間
- 1年11ヶ月
- 性別
- 女性
- 年齢
- 29歳
- 抜歯
- 無し
- 治療方法
- マウスピース矯正(インビザラインLite)による治療方法
- 治療リスク
- 1日22時間の装着時間を守らないと治療期間が遅くなり、歯並びの質が悪くなります
患者さまの声
子どものころから出っ歯が気になり、思いきってマウスピース矯正を始めました。
治療前は追加治療で費用が増えるのではと不安でしたが、実際には追加の負担もなく、丁寧に対応していただけたので安心できました。
治療前と比べると歯並びが見違えるほどきれいになり、笑顔がより明るくなったと感じます。
周りからも「印象が変わったね」と言われることが増え、自然と笑顔になり、気持ちも前向きになった気がします。
24歳女性出っ歯のマウスピース矯正-矯正期間6ヶ月


- 治療費用
- 550,000円(税込)
- 治療期間
- 6ヶ月
- 性別
- 女性
- 年齢
- 24歳
- 抜歯
- 無し
- 治療方法
- マウスピース矯正(インビザラインLite)による治療方法
- 治療リスク
- 1日22時間の装着時間を守らないと治療期間が遅くなり、歯並びの質が悪くなります
患者さまの声
上の前歯が全体的に出ているのが気になっており、矯正を考えるようになりました。
治療前は、痛みや装着できるかどうか不安もありましたが、実際に始めてみると痛みは我慢できる程度でした。着脱は少し手間でしたが、次第に慣れていきました。
矯正後のイメージ動画を見て「こうなれるなら頑張ろう」と思えたことが、続けるモチベーションになりました。
私の矯正を見て、妹も治療を始めることになり、嬉しく思っています。
31歳女性出っ歯のマウスピース矯正-矯正期間1年5ヶ月


- 治療費用
- 880,000円円(税込)
- 治療期間
- 1年5ヶ月
- 性別
- 女性
- 年齢
- 31歳
- 抜歯
- 無し
- 治療方法
- 歯全体のマウスピース矯正システム「インビザラインModerate」を用いた治療
- 治療リスク
- 1日22時間の装着時間を守らないと治療期間が遅くなり、歯並びの質が悪くなります
患者さまの声
以前から歯並びが気になっており、話すときや笑うときも、どこか気を遣っている自分がいました。
矯正治療を始める前は、痛みや違和感への不安もありましたが、実際には思っていたほどの痛みはなく、日常生活にも徐々に慣れていきました。
少しずつ歯が整っていくのを実感できたことで、治療への前向きな気持ちも育っていったように思います。
今では人と接するときも自然体でいられるようになり、矯正治療を受けて本当によかったと感じています。










