Case Study11歳女性すきっ歯のマウスピース矯正-矯正期間6ヶ月(2024年4月開始)

BEFORE

AFTER

BEFORE

AFTER

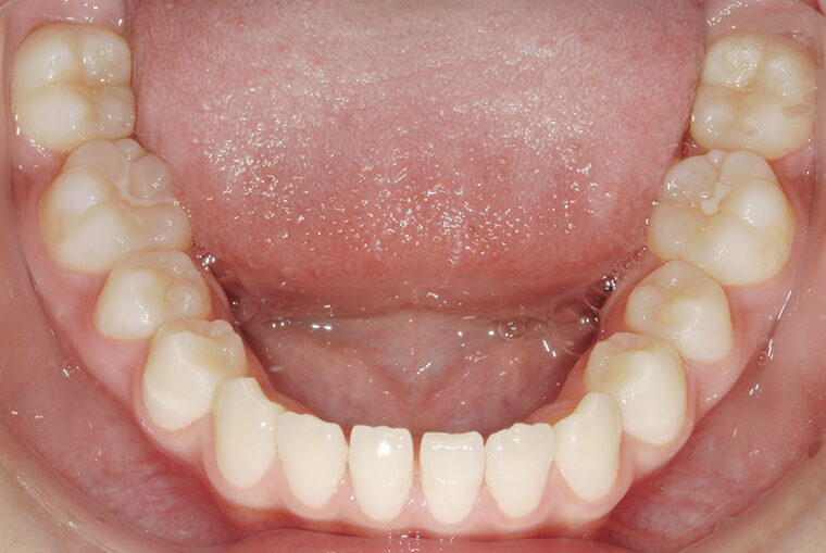
BEFORE

AFTER
- 治療費用
- 630,000円(税込)
- 抜歯
- 無し
- 治療期間
- 6ヶ月
- 性別
- 女性
- 年齢
- 11歳
- 治療開始
- 2024年4月
- 通院回数
- 3回
- 治療方法
- マウスピース矯正システム「インビザラインLite」を用いた治療
- 治療リスク
- ・歯肉退縮、歯の変色、ブラックトライアングルのリスクがあります。
・1日22時間の装着時間を守らないと治療期間が遅くなり、歯並びの質が悪くなります。
患者さまの声
気になっていた前歯のすき間がきれいに整い、見た目が大きく変わっただけでなく、奥歯の噛み合わせもしっかり改善しました。治療中は少し大変なこともありましたが、マウスピース矯正だったので無理なく続けることができ、今では歯並びを気にせず笑えるようになりました。思い切って矯正を始めて本当によかったと思っています。
I215
マウスピース矯正(インビザライン)のおもなリスク
虫歯・歯肉炎・歯周病・ブラックトライアングル・歯根吸収・歯肉退縮・1日22時間以上のマウスピース装着が必須・マウスピースにより痛みを感じる可能性・治療中に一時的に噛み合わせに不具合をきたす可能性・リテーナーを最低1年間は1日22時間以上装着、その後徐々に着用時間を減らし、2年目以降は夜間のみの着用を推奨。
価格・期間の表記について
マウスピース矯正の総額費用(アライナー、調整、保定装置)以外に、IPR(歯の側面を削る治療)や抜歯など、歯並びの状態により追加治療があります。それらを含めた治療当時の医院価格となっております。










