Case Study
13歳男性埋まった歯のマウスピース矯正-矯正期間1年11ヶ月(2022年11月開始)

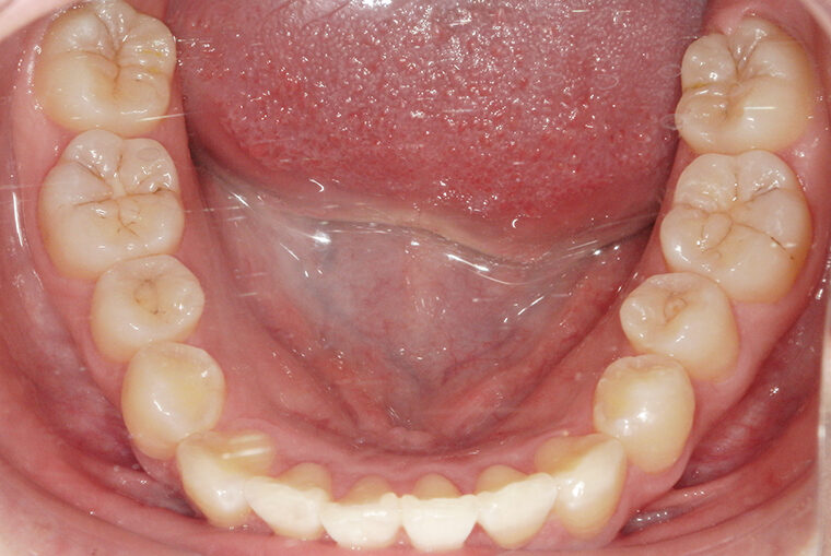
BEFORE
AFTER
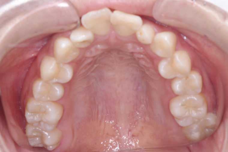
BEFORE
AFTER
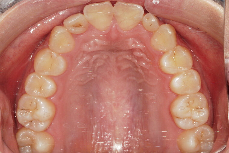
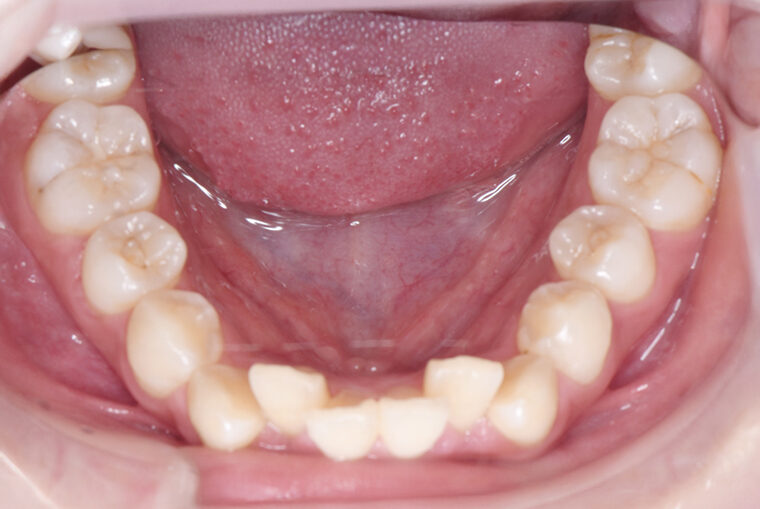
BEFORE
AFTER
治療費用
800,000円(税込)
抜歯
無し
治療期間
2年
性別
女性
年齢
15歳
治療開始
2022年11月
通院回数
12回
治療方法
マウスピース矯正システム「インビザラインModerate」を用いた治療
治療リスク
・歯肉退縮、歯の変色、ブラックトライアングルのリスクがあります。
・1日22時間の装着時間を守らないと治療期間が遅くなり、歯並びの質が悪くなります。

患者さまの声

はじめのころと比べると、歯並びがすごく良くなったと感じています。前歯のすき間が気にならなくなり、見た目だけでなく噛み合わせも整いました。マウスピース矯正だったので、学校生活の中でも続けやすく、無理なく矯正できたと思います。今は笑うときも歯並びを気にしなくてよくなり、矯正して本当に良かったです。

I445
マウスピース矯正(インビザライン)のおもなリスク
虫歯・歯肉炎・歯周病・ブラックトライアングル・歯根吸収・歯肉退縮・1日22時間以上のマウスピース装着が必須・マウスピースにより痛みを感じる可能性・治療中に一時的に噛み合わせに不具合をきたす可能性・リテーナーを最低1年間は1日22時間以上装着、その後徐々に着用時間を減らし、2年目以降は夜間のみの着用を推奨。
価格・期間の表記について
マウスピース矯正の総額費用(アライナー、調整、保定装置)以外に、IPR(歯の側面を削る治療)や抜歯など、歯並びの状態により追加治療があります。それらを含めた治療当時の医院価格となっております。
LINEで
新規矯正相談
24時間可能
簡単Web予約