Case Study20歳男性ガタガタな歯のマウスピース矯正-矯正期間9ヶ月

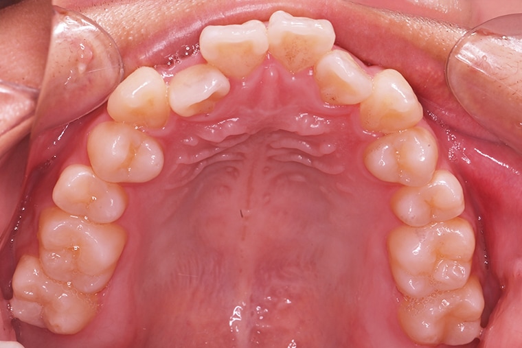
BEFORE

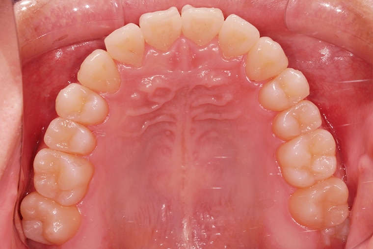
AFTER

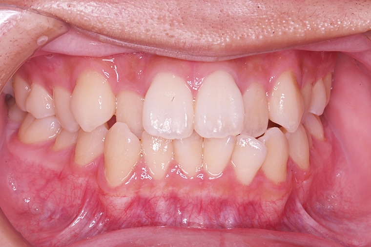
BEFORE

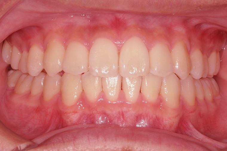
AFTER

BEFORE

AFTER
- 治療費用
- 880,000円(税込)
- 治療期間
- 9ヶ月
- 性別
- 男性
- 年齢
- 20歳
- 抜歯
- 無し
- 治療方法
- マウスピース矯正(インビザラインModerate)による治療方法
- 治療リスク
- 1日22時間の装着時間を守らないと治療期間が遅くなり、歯並びの質が悪くなります
患者さまの声
上下のガタつきがずっと気になっていて、朝鏡を見るときにいい気分にはなれませんでした。
ワイヤー矯正は痛いイメージがあったのと、治療期間が長くかかるイメージもあったため、なかなか踏み切れずにいました。
そこでマウスピース矯正を選んだのですが、実際に始めてみると、想像していたよりも負担が少なく、期間も短く済むことが分かりました。装置を交換した2、3日だけ少し違和感や軽い痛みがありましたが、日常生活に大きな支障はなく、普段の生活や食事にもほとんど影響がありませんでした。
治療を始めてから少しずつ歯並びが整っていくのを目で確認できるのは励みになり、モチベーションを保つことができました。毎日の装着や歯磨きの習慣も自然と身につき、歯への意識も以前より高まりました。
約9ヶ月の治療を経て、上下のガタガタだった歯はきれいに整い、朝鏡を見ることが苦にならなくなりました。今では口元を隠す必要もなくなり、笑顔に自信が持てるようになりました。思っていたよりも短期間で、そして痛みもほとんどなく変化を実感できたことが本当に嬉しいです
J114
マウスピース矯正(インビザライン)のおもなリスク
虫歯・歯肉炎・歯周病・ブラックトライアングル・歯根吸収・歯肉退縮・1日22時間以上のマウスピース装着が必須・マウスピースにより痛みを感じる可能性・治療中に一時的に噛み合わせに不具合をきたす可能性・リテーナーを最低1年間は1日22時間以上装着、その後徐々に着用時間を減らし、2年目以降は夜間のみの着用を推奨。
価格・期間の表記について
マウスピース矯正の総額費用(アライナー、調整、保定装置)以外に、IPR(歯の側面を削る治療)や抜歯など、歯並びの状態により追加治療があります。それらを含めた治療当時の医院価格となっております。










