Case Study15歳女性出っ歯のマウスピース矯正-矯正期間10ヶ月

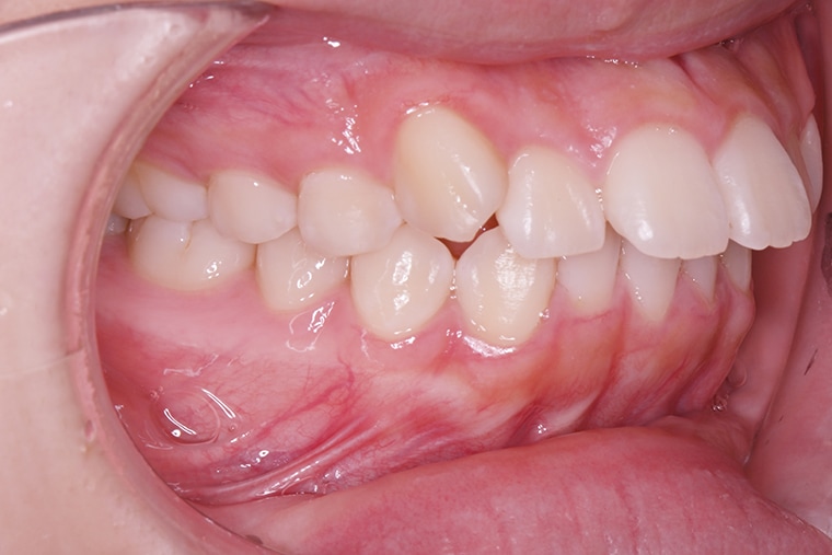
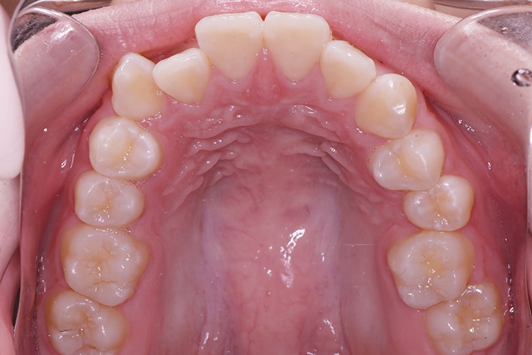
BEFORE

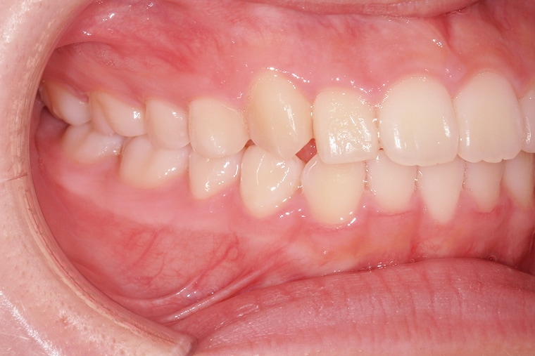
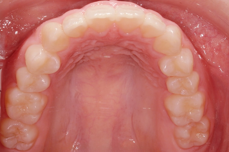
AFTER

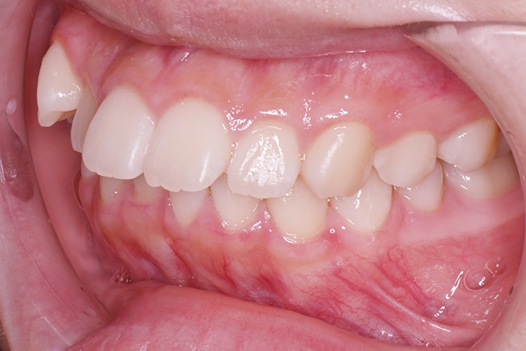
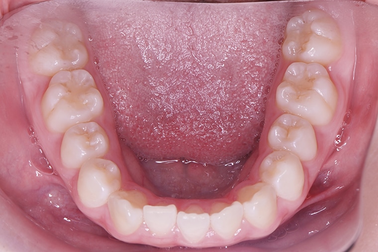
BEFORE

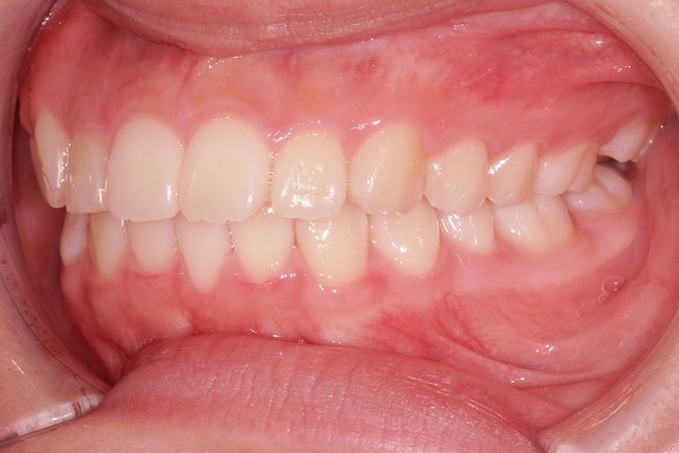
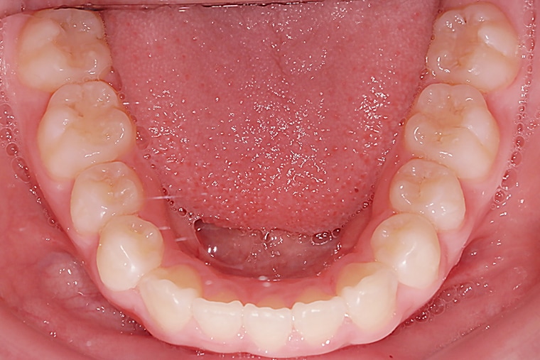
AFTER

BEFORE

AFTER

BEFORE

AFTER

BEFORE

AFTER
- 治療費用
- 660,000円(税込)
- 治療期間
- 10ヶ月
- 性別
- 女性
- 年齢
- 15歳
- 抜歯
- 無し
- 治療方法
- マウスピース矯正(インビザラインLite)による治療方法
- 治療リスク
- 1日22時間の装着時間を守らないと治療期間が遅くなり、歯並びの質が悪くなります
患者さまの声
上の前歯が出っ歯で、笑ったときや話すときに口元が目立つのが気になり、娘も矯正をしたいと思っていました。
最初の頃は、マウスピースの扱いに慣れず、特に食事のときにうまく外せなくて困っていたので、学校でうまく対応できるか少し心配していました。本人も最初は戸惑っていましたが、回数を重ねるうちにスムーズに取り外せるようになり、日常生活への影響も少なくなっていきました。
矯正中は、毎日の装着や歯磨きの習慣を守ることの大切さを本人が実感しながら取り組んでいる様子が見られました。少しずつ歯並びが整っていくのを見て、娘も「頑張ってよかった」と実感していたようです。
約10ヶ月の矯正期間を経て、上の前歯の出っ歯は改善され、口を閉じることが自然にできるようになりました。歯並びが整ったことで笑顔に自信が持てるようになり、日常生活でも以前より表情が明るくなったのを感じます。学校生活や友達との会話でも、口元を気にすることが少なくなり、本人も嬉しそうです。
矯正を始める前は不安もありましたが、結果的に歯並びがキレイになり、健康面でも噛み合わせが改善されたことで安心しています。母としても、この変化を間近で見られたことは本当に嬉しく、伊藤歯科さんで矯正を決めて良かったと感じています。
J132
マウスピース矯正(インビザライン)のおもなリスク
虫歯・歯肉炎・歯周病・ブラックトライアングル・歯根吸収・歯肉退縮・1日22時間以上のマウスピース装着が必須・マウスピースにより痛みを感じる可能性・治療中に一時的に噛み合わせに不具合をきたす可能性・リテーナーを最低1年間は1日22時間以上装着、その後徐々に着用時間を減らし、2年目以降は夜間のみの着用を推奨。
価格・期間の表記について
マウスピース矯正の総額費用(アライナー、調整、保定装置)以外に、IPR(歯の側面を削る治療)や抜歯など、歯並びの状態により追加治療があります。それらを含めた治療当時の医院価格となっております。










