Case Study
28歳女性出っ歯のマウスピース矯正-矯正期間6ヶ月

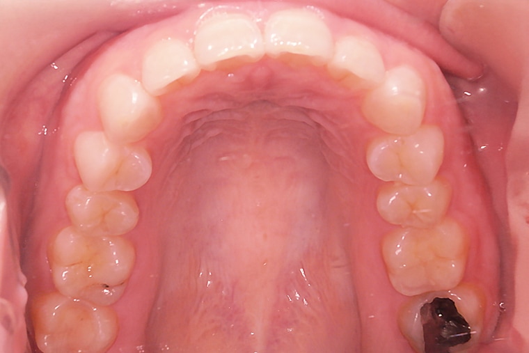
BEFORE
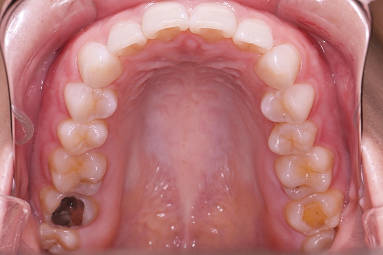
AFTER
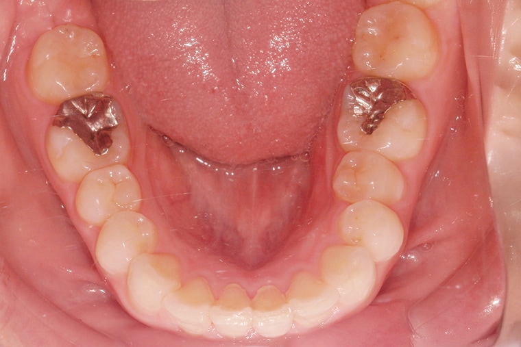
BEFORE
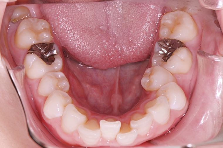
AFTER
BEFORE
AFTER
治療費用
660,000円(税込)
抜歯
無し
治療期間
6ヶ月
性別
女性
年齢
28歳
治療開始
通院回数
3回
治療方法
マウスピース矯正システム「インビザラインLite」を用いた治療
治療リスク
・歯肉退縮、歯の変色、ブラックトライアングルのリスクがあります。
・1日22時間の装着時間を守らないと治療期間が遅くなり、歯並びの質が悪くなります。

患者さまの声

下の歯のガタガタがずっと気になっていたので、思い切ってマウスピース矯正を始めました。
治療を始める前は、装置の痛みや締めつけ感があるのではないかと少し心配でした。

実際にマウスピースを交換すると、確かに痛みや締めつけ感を感じることもありましたが、数日で慣れることができ、日常生活に大きな支障はありませんでした。毎日の装着や歯磨きの習慣も自然と身につき、以前より口腔ケアに対する意識も高まりました。

約6ヶ月の治療を経て、下の歯のガタガタはきれいに整い、歯並びが改善されました。鏡で歯並びを見るたびに、自分の笑顔に自信が持てるようになり、以前のように口元を気にすることもなくなりました。

思っていた以上に短期間で変化を実感でき、痛みも最小限で済んだことがとても嬉しく、キレイになって満足です!

J142
マウスピース矯正(インビザライン)のおもなリスク
虫歯・歯肉炎・歯周病・ブラックトライアングル・歯根吸収・歯肉退縮・1日22時間以上のマウスピース装着が必須・マウスピースにより痛みを感じる可能性・治療中に一時的に噛み合わせに不具合をきたす可能性・リテーナーを最低1年間は1日22時間以上装着、その後徐々に着用時間を減らし、2年目以降は夜間のみの着用を推奨。
価格・期間の表記について
マウスピース矯正の総額費用(アライナー、調整、保定装置)以外に、IPR(歯の側面を削る治療)や抜歯など、歯並びの状態により追加治療があります。それらを含めた治療当時の医院価格となっております。
LINEで
新規矯正相談
24時間可能
簡単Web予約