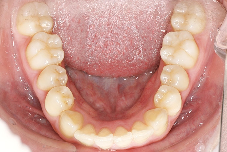
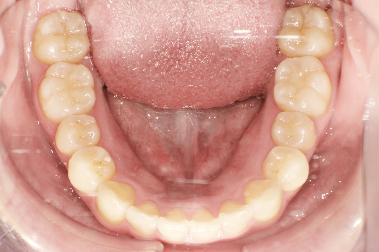
Case Study21歳女性出っ歯のマウスピース矯正-矯正期間6ヶ月(2024年3月開始)

BEFORE

AFTER

BEFORE

AFTER
- 治療費用
- 770,000円(税込)
- 抜歯
- 無し
- 治療期間
- 6ヶ月
- 性別
- 女性
- 年齢
- 21歳
- 治療開始
- 2024年3月
- 通院回数
- 3回
- 治療方法
- マウスピース矯正システム「インビザラインModerate」を用いた治療
- 治療リスク
- ・歯肉退縮、歯の変色、ブラックトライアングルのリスクがあります。
・1日22時間の装着時間を守らないと治療期間が遅くなり、歯並びの質が悪くなります。
患者さまの声
上の前歯の歪みや少し出っ張っている感じがずっと気になっていて、「矯正をすればキレイになるのかな〜」と思いながらもなかなか踏み切れませんでした。実際に治療を始めるときも、本当に自分の忍耐力が続くのか、そして思い描いているようにキレイに整うのか、とても心配でした。
最初はマウスピースの装着に慣れるまで少し大変でしたが、次第に装着も習慣になり、歯磨きやケアにも気を配るようになりました。マウスピースを交換したときに多少の締めつけ感はありましたが、痛みは強くなく、すぐに慣れることができました。
6ヶ月という短い期間で、気になっていた前歯の歪みや出っ張りが改善され、歯並びが整ったのを実感できました。鏡を見るたびに以前よりも笑顔に自信が持てるようになり、矯正をして本当に良かったと感じています。仕上がりにも満足していて、思い切って挑戦してよかったです!!
J412
マウスピース矯正(インビザライン)のおもなリスク
虫歯・歯肉炎・歯周病・ブラックトライアングル・歯根吸収・歯肉退縮・1日22時間以上のマウスピース装着が必須・マウスピースにより痛みを感じる可能性・治療中に一時的に噛み合わせに不具合をきたす可能性・リテーナーを最低1年間は1日22時間以上装着、その後徐々に着用時間を減らし、2年目以降は夜間のみの着用を推奨。
価格・期間の表記について
マウスピース矯正の総額費用(アライナー、調整、保定装置)以外に、IPR(歯の側面を削る治療)や抜歯など、歯並びの状態により追加治療があります。それらを含めた治療当時の医院価格となっております。










