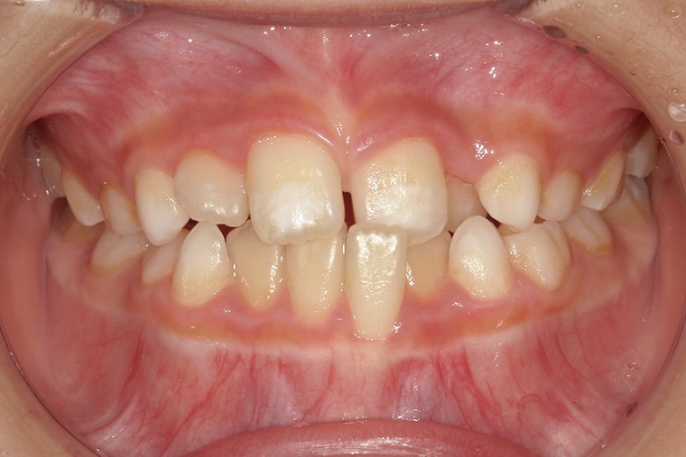
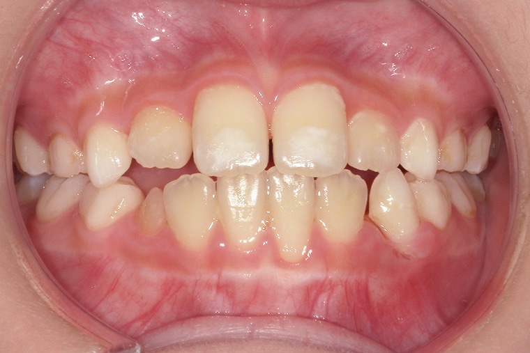
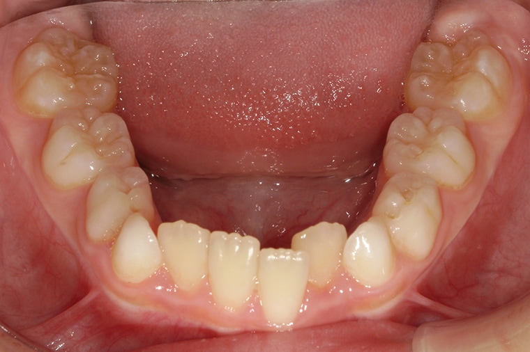
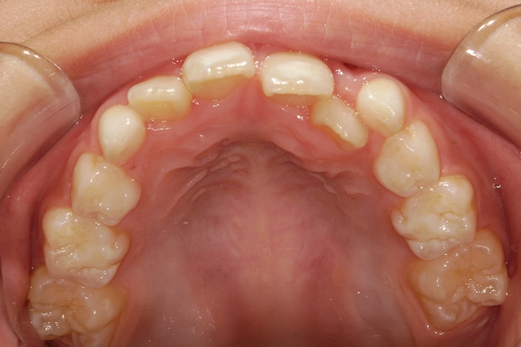
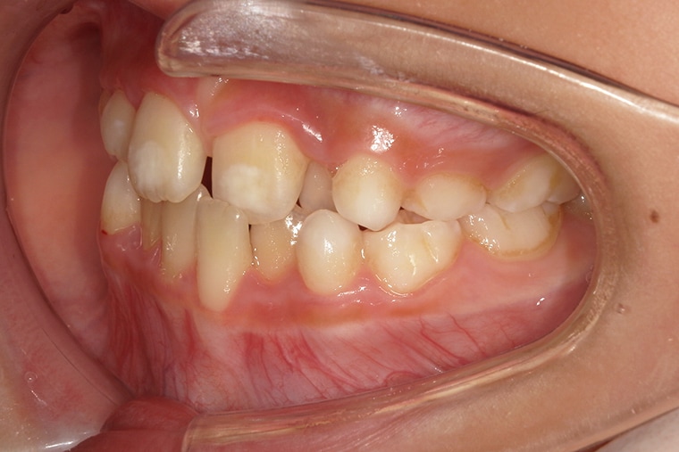
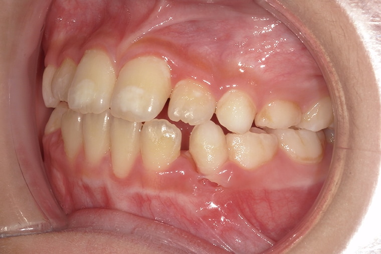
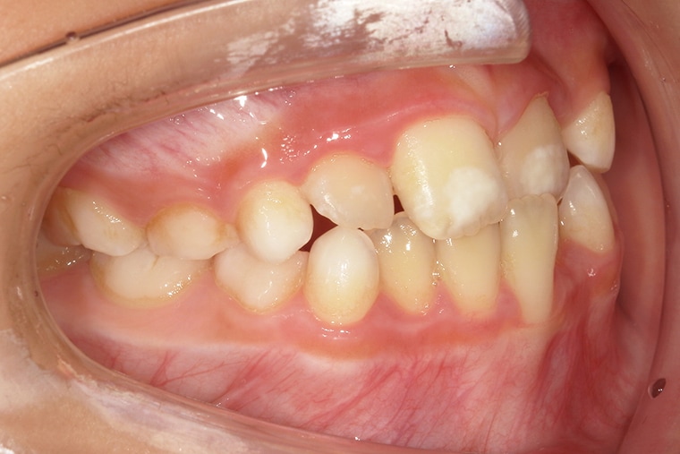
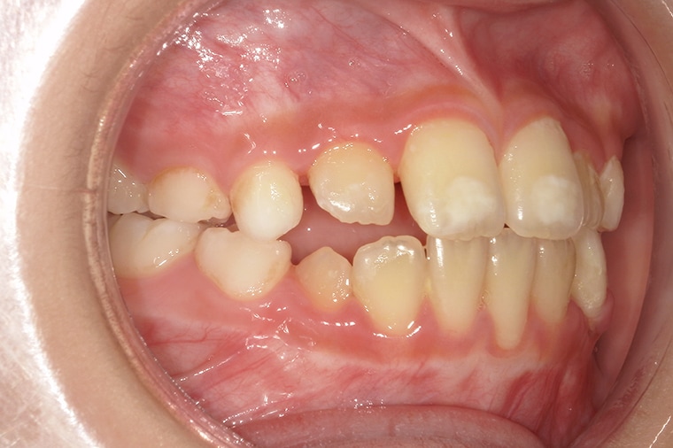
Case Study8歳女性ガタガタな歯のマウスピース矯正-矯正期間4ヶ月(2024年8月開始)

BEFORE

AFTER

BEFORE

AFTER

BEFORE

AFTER

BEFORE

AFTER

BEFORE

AFTER
マウスピース矯正(インビザライン)のおもなリスク
虫歯・歯肉炎・歯周病・ブラックトライアングル・歯根吸収・歯肉退縮・1日22時間以上のマウスピース装着が必須・マウスピースにより痛みを感じる可能性・治療中に一時的に噛み合わせに不具合をきたす可能性・リテーナーを最低1年間は1日22時間以上装着、その後徐々に着用時間を減らし、2年目以降は夜間のみの着用を推奨。
価格・期間の表記について
マウスピース矯正の総額費用(アライナー、調整、保定装置)以外に、IPR(歯の側面を削る治療)や抜歯など、歯並びの状態により追加治療があります。それらを含めた治療当時の医院価格となっております。










