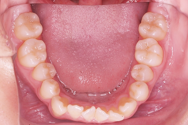
Case Studyガタガタな歯の
マウスピース矯正症例
マウスピース矯正症例
「ガタガタ」な歯並び
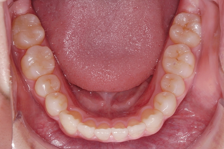
20歳男性ガタガタな歯のマウスピース矯正-矯正期間9ヶ月


- 治療費用
- 880,000円(税込)
- 治療期間
- 9ヶ月
- 性別
- 男性
- 年齢
- 20歳
- 抜歯
- 無し
- 治療方法
- マウスピース矯正(インビザラインModerate)による治療方法
- 治療リスク
- 1日22時間の装着時間を守らないと治療期間が遅くなり、歯並びの質が悪くなります
患者さまの声
上下のガタつきがずっと気になっていて、朝鏡を見るときにいい気分にはなれませんでした。
ワイヤー矯正は痛いイメージがあったのと、治療期間が長くかかるイメージもあったため、なかなか踏み切れずにいました。
そこでマウスピース矯正を選んだのですが、実際に始めてみると、想像していたよりも負担が少なく、期間も短く済むことが分かりました。装置を交換した2、3日だけ少し違和感や軽い痛みがありましたが、日常生活に大きな支障はなく、普段の生活や食事にもほとんど影響がありませんでした。
治療を始めてから少しずつ歯並びが整っていくのを目で確認できるのは励みになり、モチベーションを保つことができました。毎日の装着や歯磨きの習慣も自然と身につき、歯への意識も以前より高まりました。
約9ヶ月の治療を経て、上下のガタガタだった歯はきれいに整い、朝鏡を見ることが苦にならなくなりました。今では口元を隠す必要もなくなり、笑顔に自信が持てるようになりました。思っていたよりも短期間で、そして痛みもほとんどなく変化を実感できたことが本当に嬉しいです
29歳女性ガタガタな歯のマウスピース矯正-矯正期間1年1ヶ月


- 治療費用
- 770,000円(税込)
- 治療期間
- 1年1ヶ月
- 性別
- 女性
- 年齢
- 29歳
- 抜歯
- 無し
- 治療方法
- マウスピース矯正(インビザラインModerate)による治療方法
- 治療リスク
- 1日22時間の装着時間を守らないと治療期間が遅くなり、歯並びの質が悪くなります
患者さまの声
上の前歯が少し傾いていて、鏡に映るときや人と話したときにどうしても気になっていました。
思い切ってマウスピース矯正を始めたところ、治療は約1年1ヶ月で完了し、思っていたよりも早かったです。最初は違和感もありましたが、徐々に慣れて毎日の装着も習慣になり、歯磨きや口腔ケアにも以前より気を配るようになりました。
治療が進むにつれて少しずつ歯並びが整っていくのが嬉しく、モチベーションにもつながりました。
矯正が終わった今は、ずっと気になっていた前歯の傾きもなくなり、笑顔に自信を持てるようになりました。鏡を見るたびに「やってよかった」と心から思っています。
8歳女性スペース不足のマウスピース小児矯正-矯正期間9ヶ月


- 治療費用
- 660,000円(税込)
- 治療期間
- 9ヶ月
- 性別
- 女性
- 年齢
- 8歳
- 抜歯
- 無し
- 治療方法
- マウスピース矯正(インビザラインFirst)による治療方法
- 治療リスク
- 1日22時間の装着時間を守らないと治療期間が遅くなり、歯並びの質が悪くなります
患者さまの声
歯ならびをきれいにしたくて矯正をしました。
最初は少し痛かったけど、だんだん歯がそろってきて、鏡を見るのが楽しくなりました。
友達に「歯がきれいだね」ってほめられてすごくうれしかったです。
今は写真をとるのも楽しくて、にっこり笑うと前より自信がもてるようになりました。
26歳女性ガタガタな歯のマウスピース矯正-矯正期間3年4ヶ月


- 治療費用
- 880,000円(税込)
- 治療期間
- 3年4ヶ月
- 性別
- 女性
- 年齢
- 26歳
- 抜歯
- 有り
- 治療方法
- マウスピース矯正(インビザラインComprehensive)による治療方法
- 治療リスク
- 1日22時間の装着時間を守らないと治療期間が遅くなり、歯並びの質が悪くなります
患者さまの声
右上の八重歯がずっと気になっていました。さらに乳歯も残っていたため、「どうせなら一緒に抜こう」と思い、思い切って矯正治療を受けることにしました。
最初は少し不安もありましたが、先生やスタッフの皆さんが丁寧にサポートしてくださり、安心して治療を進めることができました。
治療後は、気になっていた八重歯もなくなり、歯並びもきれいに整って、とても満足しています。希望していた通りの仕上がりになり、本当にやってよかったと思っています。
今は自信を持って笑えるようになり、日常生活にも良い変化が生まれました。ありがとうございました。
27歳男性ガタガタな歯のマウスピース矯正-矯正期間3ヶ月


- 治療費用
- 550,000円(税込)
- 治療期間
- 3ヶ月
- 性別
- 男性
- 年齢
- 27歳
- 抜歯
- 無し
- 治療方法
- マウスピース矯正(インビザラインLite)による治療方法
- 治療リスク
- 1日22時間の装着時間を守らないと治療期間が遅くなり、歯並びの質が悪くなります
患者さまの声
小学生の頃から上下の歯並びがガタついており、矯正を勧められていました。
治療期間が短く、マウスピース矯正だったこともあり、本当にきれいになるのか不安もありましたが、思いきって始めることにしました。
治療が進むにつれて歯並びの変化を実感でき、最終的にはしっかり整って満足しています。
今では自然に笑えるようになり、矯正してよかったと感じています。
38歳男性ガタガタな歯のマウスピース矯正-矯正期間10ヶ月


- 治療費用
- 550,000円(税込)
- 治療期間
- 10ヶ月
- 性別
- 男性
- 年齢
- 38歳
- 抜歯
- 無し
- 治療方法
- マウスピース矯正(インビザラインLite)による治療方法
- 治療リスク
- 1日22時間の装着時間を守らないと治療期間が遅くなり、歯並びの質が悪くなります
患者さまの声
上の前歯のガタつきと、下の前歯が内側に入っているのが気になっており、ずっと治したいと思っていました。
シミュレーション通りにいくのかという不安はありましたが、きれいにしたいという気持ちが強く、矯正を始めました。
治療中は細やかに対応していただき、安心して通うことができました。矯正をして本当によかったと感じています。
39歳男性ガタガタな歯のマウスピース矯正-矯正期間1年9ヶ月


- 治療費用
- 440,000円(税込)
- 治療期間
- 1年9ヶ月
- 性別
- 男性
- 年齢
- 39歳
- 抜歯
- 無し
- 治療方法
- 前歯のマウスピース部分矯正システム「インビザラインLite」を用いた治療
- 治療リスク
- 1日22時間の装着時間を守らないと治療期間が遅くなり、歯並びの質が悪くなります
患者さまの声
昔から上下の前歯が少し気になっていて、笑うときに口元を隠してしまうこともありました。そこで始めたのがマウスピース矯正です。最初は続けられるか少し不安もありましたが、普段からスポーツをする際にマウスピースをつけていたので、矯正用のマウスピースにも特に大きな違和感はなく、すんなりと受け入れることができました。
目立ちにくくて、取り外しもできるので日常生活へのストレスも少なく、無理なく続けられたのが良かったです。矯正が進んでいくなかで、少しずつ歯並びが整っていくのを実感でき、自信にもつながりました。矯正を終えた後、初めて会った人に「歯並びがきれいですね」と言ってもらえた時は、本当にうれしかったです。
以前は歯を見せることに抵抗があったのに、今では自然と笑えるようになり、写真でも歯を見せて笑うことが増えました。マウスピース矯正を選んで、本当に良かったと思っています。
17歳女性切端咬合な歯のマウスピース矯正-矯正期間2年4ヶ月


- 治療費用
- 902,000円(税込)
- 治療期間
- 2年4ヶ月
- 性別
- 女性
- 年齢
- 17歳
- 抜歯
- 無し
- 治療方法
- 歯全体のマウスピース矯正システム「インビザラインFull」を用いた治療
- 治療リスク
- 1日22時間の装着時間を守らないと治療期間が遅くなり、歯並びの質が悪くなります
患者さまの声
歯並びが良くなって、歯磨きがすごくしやすくなりました。
前は八重歯がよく引っかかって痛かったけど、今はそれもなくなってとても満足しています。
受験勉強の真っ最中に矯正を始めたので、最初は大変かなと思ったけど、間食が減って逆に集中できました。
食べすぎないから体調も良くなった気がします。
矯正をすることで、見た目だけじゃなくて生活リズムも整って、自分にとってプラスになったと思います。
これからもきれいな歯を保つために、しっかりケアを続けたいです。
10歳女性ガタガタな歯のマウスピース小児矯正-矯正期間1年9ヶ月


- 治療費用
- 660,000円(税込)
- 治療期間
- 1年9ヶ月
- 性別
- 女性
- 年齢
- 10歳
- 抜歯
- 無し
- 治療方法
- 小児用マウスピース矯正システム「インビザラインFirst」を用いた治療
- 治療リスク
- 1日22時間の装着時間を守らないと治療期間が遅くなり、歯並びの質が悪くなります
患者さまの声
下の歯のガタガタがいちばん気になっていました。
お姉ちゃんもここで矯正をしたので、わたしも安心してできました。
痛みもほとんどなくて、マウスピースだったからまわりに気づかれずにすみました。
目立たないのがとてもよかったです。
これからも歯を大切にして、きれいな歯並びを続けたいと思います。
16歳女性ガタガタな歯のマウスピース矯正-矯正期間10ヶ月


- 治療費用
- 990,000円(税込)
- 治療期間
- 10ヶ月
- 性別
- 女性
- 年齢
- 16歳
- 抜歯
- 無し
- 治療方法
- 歯全体のマウスピース矯正システム「インビザラインFull」を用いた治療
- 治療リスク
- 1日22時間の装着時間を守らないと治療期間が遅くなり、歯並びの質が悪くなります
患者さまの声
歯がガタガタでずっと気になっていたので、治したいと思っていました。
治療を続けていくうちに、歯並びがどんどんきれいになっていくのが自分でもわかりました。
写真で比べると、その変化がはっきり見えて、本当に嬉しかったです。
希望していた通り、きれいな歯並びになって大満足です。
これからも歯を大切にして、笑顔に自信を持ちたいです。










