Case Study受け口な歯の
マウスピース矯正症例
マウスピース矯正症例
「受け口」な歯並び
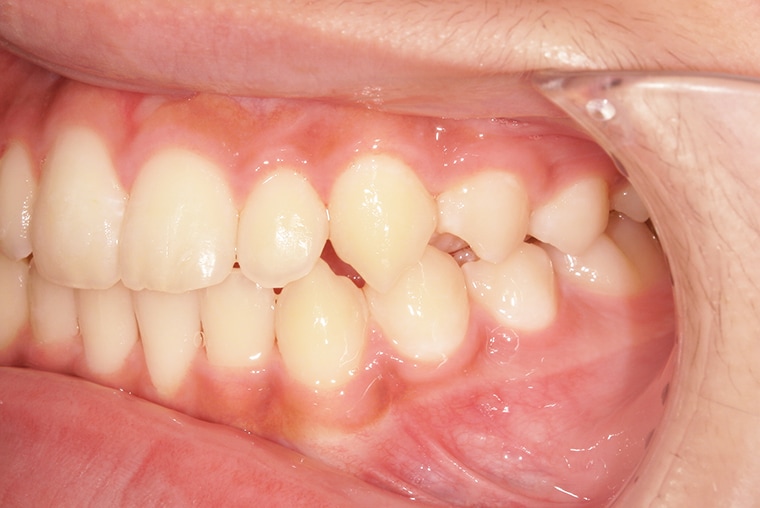
53歳女性ガタガタな歯のマウスピース矯正-矯正期間1年4ヶ月


- 治療費用
- 880,000円(税込)
- 抜歯
- 無し
- 治療期間
- 1年4ヶ月
- 性別
- 女性
- 年齢
- 53歳
- 治療開始
- 通院回数
- 8回
- 治療方法
- 歯全体のマウスピース矯正システム「インビザラインFull」を用いた治療
- 治療リスク
- ・歯肉退縮、歯の変色、ブラックトライアングルのリスクがあります。
・1日22時間の装着時間を守らないと治療期間が遅くなり、歯並びの質が悪くなります。
患者さまの声
矯正で、逆の噛み合わせと全体的な歯のデコボコを治したいと思い、治療を始めました。
年齢的に迷いもありましたが、しっかり説明していただけたので安心して進められました。
矯正後は反対の噛み合わせもきれいに整い、見た目もすっきりしました。
思いきって始めて、本当に良かったと感じています。
48歳女性ガタガタな前歯のマウスピース矯正-矯正期間11ヶ月


- 治療費用
- 440,000円(税込)
- 抜歯
- 無し
- 治療期間
- 11ヶ月
- 性別
- 女性
- 年齢
- 48
- 治療開始
- 通院回数
- 6回
- 治療方法
- マウスピース矯正システム「インビザラインLite」を用いた治療
- 治療リスク
- ・歯肉退縮、歯の変色、ブラックトライアングルのリスクがあります。
・1日22時間の装着時間を守らないと治療期間が遅くなり、歯並びの質が悪くなります。
患者さまの声
ずっと反対咬合を治したいと思っていました。
他の医院では「その年齢では難しい」と言われ、あきらめかけていました。
でもこちらではしっかり話を聞いてくださり、自分に合った治療を提案してもらえました。
すべてではなくても、最低限しっかり治せたことに満足しています。
本当にやってよかったです。
8歳女性受け口のマウスピース小児矯正-矯正期間3ヶ月


- 治療費用
- 682,000円(税込)
- 抜歯
- 無し
- 治療期間
- 3ヶ月
- 性別
- 女性
- 年齢
- 8歳
- 治療開始
- 通院回数
- 2回
- 治療方法
- 小児用マウスピース矯正システム「インビザラインFirst」を用いた治療
- 治療リスク
- ・生え替わりより不適合、矯正装置の作り直しのリスクがあります。
・1日22時間の装着時間を守らないと治療期間が遅くなり、歯並びの質が悪くなります。
患者さまの声
以前から受け口と前歯が開いていることが気になっていました。
見た目の問題だけでなく、噛み合わせや発音への影響も心配していたため、矯正治療を受けることにしました。
治療を始めてからは徐々に歯並びが整っていくのが目に見えて分かり、本人も前向きに通院してくれました。
想像以上に短期間で治療が完了し、見た目も大きく改善されて本当に良かったです。(母)
11歳男性受け口のマウスピース小児矯正-矯正期間2年


- 治療費用
- 660000円(税込)
- 抜歯
- 無し
- 治療期間
- 2年
- 性別
- 男性
- 年齢
- 11歳
- 治療開始
- 通院回数
- 12回
- 治療方法
- 小児用マウスピース矯正システム「インビザラインFirst」を用いた治療
- 治療リスク
- ・生え替わりより不適合、矯正装置の作り直しのリスクがあります。
・1日22時間の装着時間を守らないと治療期間が遅くなり、歯並びの質が悪くなります。
患者さまの声
下の歯が前に出ていて、全体的に歯並びがガタガタしているのが、ずっと気になっていました。写真に写るたびに気になってしまって、本人も少し気にしている様子だったので、矯正を考え始めました。ただ、矯正を始めるにあたって一番心配だったのは、ちょうど思春期の難しい年頃だったこともあり、本人がきちんと通院や装置の管理など、約束を守ってくれるかどうかということでした。時間との戦いになるかもしれないし、途中で投げ出してしまわないかという不安もありました。
でも、いざ矯正を始めてみると、少しずつ歯並びが整っていくのが目に見えて分かってきて、それが本人にとっても励みになったようです。本人の努力もあり、最終的にはとてもきれいな歯並びになりました。今では、口元に自信を持って笑えるようになったことが、本当にうれしいです。最初は不安もありましたが、思い切って矯正に踏み切ってよかったと心から思っています。(母)
25歳女性受け口のマウスピース矯正-矯正期間1年2ヶ月


- 治療費用
- 880,000円(税込)
- 抜歯
- 無し
- 治療期間
- 1年2ヶ月
- 性別
- 女性
- 年齢
- 25歳
- 治療開始
- 通院回数
- 7回
- 治療方法
- マウスピース矯正システム「インビザライン Comprehensive」を用いた治療
- 治療リスク
- ・歯肉退縮、歯の変色、ブラックトライアングルのリスクがあります。
・1日22時間の装着時間を守らないと治療期間が遅くなり、歯並びの質が悪くなります。
患者さまの声
友達が矯正をしていてとてもきれいになっていたのを見て、自分もやってみようと思いました。
前歯が逆だったので、前に出したかったのと、でこぼこした歯並びで歯磨きがしにくかったのも気になっていました。
今はきれいに整って、毎日のケアもしやすくなり、本当にやってよかったと思っています。
5歳女子受け口の歯の幼児矯正-矯正期間8ヶ月


- 治療費用
- 95,040円(税込)
- 抜歯
- 無し
- 治療期間
- 8ヶ月
- 性別
- 女性
- 年齢
- 5歳
- 治療開始
- 通院回数
- 4回
- 治療方法
- 幼児用既成マウスピース矯正装置「ムーシールド」を用いた治療
- 治療リスク
- ・トレーナー装置は毎日正しく装着しなければ、十分な改善が見込めません。
患者さまの声
5歳男子受け口の歯の幼児矯正-矯正期間10ヶ月


- 治療費用
- 88,000円(税込)
- 抜歯
- 無し
- 治療期間
- 10ヶ月
- 性別
- 男性
- 年齢
- 5歳
- 治療開始
- 通院回数
- 5回
- 治療方法
- 幼児用既成マウスピース矯正装置「ムーシールド」を用いた治療
- 治療リスク
- ・トレーナー装置は毎日正しく装着しなければ、十分な改善が見込めません。
患者さまの声
5歳女子受け口の歯の幼児矯正-矯正期間7ヶ月


- 治療費用
- 88,000円(税込)
- 抜歯
- 無し
- 治療期間
- 7ヶ月
- 性別
- 女性
- 年齢
- 5歳
- 治療開始
- 通院回数
- 4回
- 治療方法
- 幼児用既成マウスピース矯正装置「ムーシールド」を用いた治療
- 治療リスク
- ・トレーナー装置は毎日正しく装着しなければ、十分な改善が見込めません。
患者さまの声
35歳女性受け口のマウスピース部分矯正-矯正期間11ヶ月


- 治療費用
- 440,000円(税込)
- 抜歯
- 無し
- 治療期間
- 11ヶ月
- 性別
- 女性
- 年齢
- 35歳
- 治療開始
- 通院回数
- 6回
- 治療方法
- 前歯のマウスピース部分矯正システム「インビザラインGo」を用いた治療
- 治療リスク
- ・歯肉退縮、歯の変色、ブラックトライアングルのリスクがあります。
・1日22時間の装着時間を守らないと治療期間が遅くなり、歯並びの質が悪くなります。
患者さまの声
反対咬合が気になって笑うことが苦手だった。矯正後、前歯が乗り越えた!ほんとに矯正して良かった!












