Case Studyマウスピース矯正症例
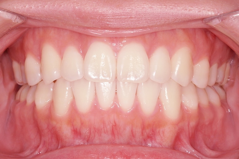
21歳女性出っ歯のマウスピース矯正-矯正期間6ヶ月


- 治療費用
- 770,000円(税込)
- 治療期間
- 6ヶ月
- 性別
- 女性
- 年齢
- 21歳
- 抜歯
- 無し
- 治療方法
- マウスピース矯正(インビザラインModerate)による治療方法
- 治療リスク
- 1日22時間の装着時間を守らないと治療期間が遅くなり、歯並びの質が悪くなります
患者さまの声
上の前歯の歪みや少し出っ張っている感じがずっと気になっていて、「矯正をすればキレイになるのかな〜」と思いながらもなかなか踏み切れませんでした。実際に治療を始めるときも、本当に自分の忍耐力が続くのか、そして思い描いているようにキレイに整うのか、とても心配でした。
最初はマウスピースの装着に慣れるまで少し大変でしたが、次第に装着も習慣になり、歯磨きやケアにも気を配るようになりました。マウスピースを交換したときに多少の締めつけ感はありましたが、痛みは強くなく、すぐに慣れることができました。
6ヶ月という短い期間で、気になっていた前歯の歪みや出っ張りが改善され、歯並びが整ったのを実感できました。鏡を見るたびに以前よりも笑顔に自信が持てるようになり、矯正をして本当に良かったと感じています。仕上がりにも満足していて、思い切って挑戦してよかったです!!
14歳女性出っ歯のマウスピース矯正-矯正期間3ヶ月


- 治療費用
- 550,000円(税込)
- 治療期間
- 3ヶ月
- 性別
- 女性
- 年齢
- 14歳
- 抜歯
- 無し
- 治療方法
- マウスピース矯正(インビザラインLite)による治療方法
- 治療リスク
- 1日22時間の装着時間を守らないと治療期間が遅くなり、歯並びの質が悪くなります
患者さまの声
14歳女性出っ歯のマウスピース矯正-矯正期間10ヶ月


- 治療費用
- 1,001,000円(税込)
- 治療期間
- 10ヶ月
- 性別
- 女性
- 年齢
- 14歳
- 抜歯
- 無し
- 治療方法
- マウスピース矯正(インビザラインModerate)による治療方法
- 治療リスク
- 1日22時間の装着時間を守らないと治療期間が遅くなり、歯並びの質が悪くなります
患者さまの声
娘の上の前歯が徐々に出てきていて、年頃にもなったこともあり、自分から「矯正をしたい」と言ってきました。以前は前歯がかなり出ていて、笑うと目立っていたので、私も少し心配していました。
マウスピース矯正を始めてから約10ヶ月、あんなに出ていた前歯が引っこんでいくのを見て本当にびっくりしました。装置の扱いも最初は戸惑いがあったようですが、本人がしっかり装着を続け、歯磨きもきちんとするようになりました。少しずつ歯並びが整っていくのを見て、本人も自信を持って鏡を見るようになったのが嬉しかったです。
矯正が終わった今、前歯の見た目はとてもキレイになり、希望通りの仕上がりです。笑顔にも自然に自信が持てるようになり、日常生活でも口元を気にせず過ごせることが何より安心で嬉しいです。母として、矯正をさせて本当に良かったです。
24歳女性開咬な歯のマウスピース矯正-矯正期間6ヶ月


- 治療費用
- 550,000円(税込)
- 治療期間
- 6ヶ月
- 性別
- 女性
- 年齢
- 24歳
- 抜歯
- 無し
- 治療方法
- マウスピース矯正(インビザラインLite)による治療方法
- 治療リスク
- 1日22時間の装着時間を守らないと治療期間が遅くなり、歯並びの質が悪くなります
患者さまの声
上の前歯が出ていて、前歯がうまく噛み合わないのがずっと気になっていました。前歯をキレイに整えたいと思い、マウスピース矯正を始めました。
矯正前は、思い通りに歯が並ぶか不安でしたし、装置の痛みや違和感も心配でした。しかし治療が進むにつれて少しずつ前歯が整い、噛み合わせも良くなっていくのを見て、安心して続けられました。マウスピース交換時の締めつけ感も最初だけで、すぐに慣れることができました。
約6ヶ月の治療を経て、前歯は希望通りにキレイに並び、鏡を見るたびに笑顔に自信が持てるようになりました。前歯の噛み合わせも改善され、日常生活でも口元を気にせず過ごせることが一番の喜びです。
25歳男性ガタガタな歯のマウスピース矯正-矯正期間6ヶ月


- 治療費用
- 968,000円(税込)
- 治療期間
- 6ヶ月
- 性別
- 男性
- 年齢
- 25歳
- 抜歯
- 無し
- 治療方法
- マウスピース矯正(インビザラインModerate)による治療方法
- 治療リスク
- 1日22時間の装着時間を守らないと治療期間が遅くなり、歯並びの質が悪くなります
患者さまの声
歯の噛み合わせが一番気になっていたのでマウスピース矯正を始めました。
最初はちゃんと治るか不安でしたが、近所で一番大きい医院だったので安心できました。
約6ヶ月の治療で気になっていた部分はしっかり改善され、噛み合わせも良くなり満足しています。
28歳女性出っ歯のマウスピース矯正-矯正期間6ヶ月


- 治療費用
- 660,000円(税込)
- 治療期間
- 6ヶ月
- 性別
- 女性
- 年齢
- 28歳
- 抜歯
- 無し
- 治療方法
- マウスピース矯正(インビザラインLite)による治療方法
- 治療リスク
- 1日22時間の装着時間を守らないと治療期間が遅くなり、歯並びの質が悪くなります
患者さまの声
下の歯のガタガタがずっと気になっていたので、思い切ってマウスピース矯正を始めました。
治療を始める前は、装置の痛みや締めつけ感があるのではないかと少し心配でした。
実際にマウスピースを交換すると、確かに痛みや締めつけ感を感じることもありましたが、数日で慣れることができ、日常生活に大きな支障はありませんでした。毎日の装着や歯磨きの習慣も自然と身につき、以前より口腔ケアに対する意識も高まりました。
約6ヶ月の治療を経て、下の歯のガタガタはきれいに整い、歯並びが改善されました。鏡で歯並びを見るたびに、自分の笑顔に自信が持てるようになり、以前のように口元を気にすることもなくなりました。
思っていた以上に短期間で変化を実感でき、痛みも最小限で済んだことがとても嬉しく、キレイになって満足です!
15歳女性出っ歯のマウスピース矯正-矯正期間10ヶ月


- 治療費用
- 660,000円(税込)
- 治療期間
- 10ヶ月
- 性別
- 女性
- 年齢
- 15歳
- 抜歯
- 無し
- 治療方法
- マウスピース矯正(インビザラインLite)による治療方法
- 治療リスク
- 1日22時間の装着時間を守らないと治療期間が遅くなり、歯並びの質が悪くなります
患者さまの声
上の前歯が出っ歯で、笑ったときや話すときに口元が目立つのが気になり、娘も矯正をしたいと思っていました。
最初の頃は、マウスピースの扱いに慣れず、特に食事のときにうまく外せなくて困っていたので、学校でうまく対応できるか少し心配していました。本人も最初は戸惑っていましたが、回数を重ねるうちにスムーズに取り外せるようになり、日常生活への影響も少なくなっていきました。
矯正中は、毎日の装着や歯磨きの習慣を守ることの大切さを本人が実感しながら取り組んでいる様子が見られました。少しずつ歯並びが整っていくのを見て、娘も「頑張ってよかった」と実感していたようです。
約10ヶ月の矯正期間を経て、上の前歯の出っ歯は改善され、口を閉じることが自然にできるようになりました。歯並びが整ったことで笑顔に自信が持てるようになり、日常生活でも以前より表情が明るくなったのを感じます。学校生活や友達との会話でも、口元を気にすることが少なくなり、本人も嬉しそうです。
矯正を始める前は不安もありましたが、結果的に歯並びがキレイになり、健康面でも噛み合わせが改善されたことで安心しています。母としても、この変化を間近で見られたことは本当に嬉しく、伊藤歯科さんで矯正を決めて良かったと感じています。
20歳男性ガタガタな歯のマウスピース矯正-矯正期間9ヶ月


- 治療費用
- 880,000円(税込)
- 治療期間
- 9ヶ月
- 性別
- 男性
- 年齢
- 20歳
- 抜歯
- 無し
- 治療方法
- マウスピース矯正(インビザラインModerate)による治療方法
- 治療リスク
- 1日22時間の装着時間を守らないと治療期間が遅くなり、歯並びの質が悪くなります
患者さまの声
上下のガタつきがずっと気になっていて、朝鏡を見るときにいい気分にはなれませんでした。
ワイヤー矯正は痛いイメージがあったのと、治療期間が長くかかるイメージもあったため、なかなか踏み切れずにいました。
そこでマウスピース矯正を選んだのですが、実際に始めてみると、想像していたよりも負担が少なく、期間も短く済むことが分かりました。装置を交換した2、3日だけ少し違和感や軽い痛みがありましたが、日常生活に大きな支障はなく、普段の生活や食事にもほとんど影響がありませんでした。
治療を始めてから少しずつ歯並びが整っていくのを目で確認できるのは励みになり、モチベーションを保つことができました。毎日の装着や歯磨きの習慣も自然と身につき、歯への意識も以前より高まりました。
約9ヶ月の治療を経て、上下のガタガタだった歯はきれいに整い、朝鏡を見ることが苦にならなくなりました。今では口元を隠す必要もなくなり、笑顔に自信が持てるようになりました。思っていたよりも短期間で、そして痛みもほとんどなく変化を実感できたことが本当に嬉しいです
24歳女性開咬な歯のマウスピース矯正-矯正期間8ヶ月


- 治療費用
- 550,000円(税込)
- 治療期間
- 8ヶ月
- 性別
- 女性
- 年齢
- 24歳
- 抜歯
- 無し
- 治療方法
- マウスピース矯正(インビザラインLite)による治療方法
- 治療リスク
- 1日22時間の装着時間を守らないと治療期間が遅くなり、歯並びの質が悪くなります
患者さまの声
上の前歯2本が少し出ているのがずっと気になっていて、笑ったときや会話のときに自信が持てませんでした。
矯正を始める前は、装置の痛みや違和感があるのではないかと不安でしたが、先生のお話を聞いて思い切ってマウスピース矯正に踏み切りました。
治療が始まると、少しずつ歯並びが整っていくのが目で見て分かり、頑張ろうという気持ちになりました。毎日の装着や歯磨きも少し手間に感じることはありましたが、習慣になってしまえば負担はほとんどありませんでした。
約8ヶ月の治療期間で、上の前歯も自然に整い、開咬も改善されました。鏡で歯並びを見るたびに、整った歯が嬉しく、笑顔にも自信が持てるようになりました。思っていた以上に短期間で変化を感じられたことが本当に嬉しかったです。
29歳女性ガタガタな歯のマウスピース矯正-矯正期間1年1ヶ月


- 治療費用
- 770,000円(税込)
- 治療期間
- 1年1ヶ月
- 性別
- 女性
- 年齢
- 29歳
- 抜歯
- 無し
- 治療方法
- マウスピース矯正(インビザラインModerate)による治療方法
- 治療リスク
- 1日22時間の装着時間を守らないと治療期間が遅くなり、歯並びの質が悪くなります
患者さまの声
上の前歯が少し傾いていて、鏡に映るときや人と話したときにどうしても気になっていました。
思い切ってマウスピース矯正を始めたところ、治療は約1年1ヶ月で完了し、思っていたよりも早かったです。最初は違和感もありましたが、徐々に慣れて毎日の装着も習慣になり、歯磨きや口腔ケアにも以前より気を配るようになりました。
治療が進むにつれて少しずつ歯並びが整っていくのが嬉しく、モチベーションにもつながりました。
矯正が終わった今は、ずっと気になっていた前歯の傾きもなくなり、笑顔に自信を持てるようになりました。鏡を見るたびに「やってよかった」と心から思っています。










